გიგანტური ბულის სარქვლოვანი ბრონქობლოკაცია

გიგანტური ბულის სარქვლოვანი ბრონქობლოკაცია

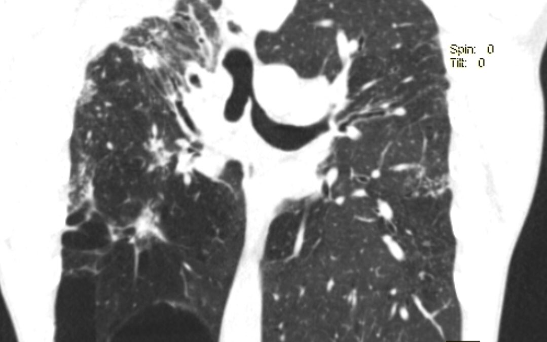
გიგანტური ბულის სარქვლოვანი ბრონქობლოკაცია პაციენტი 45 წ ქალბატონი. 2022 წ თებერვალში გადაიტანა კოვიდ – 19 მძიმე ფორმაში სტაციონარის რეანიმაციულ განყოფილებაში, სადაც უტარდებოდა ოქსიგენოთერაპია CPAP da BiPAP რეჟიმებში. გამოწერიდან მალევე გაუჩნდა ჰაერის...
ფილტვის მოცულობის ბრონქოსკოპიული შემცირება ბულოზური ემფიზემის შემთხვევაში

ფილტვის მოცულობის ბრონქოსკოპიული შემცირება ბულოზური ემფიზემის შემთხვევაში

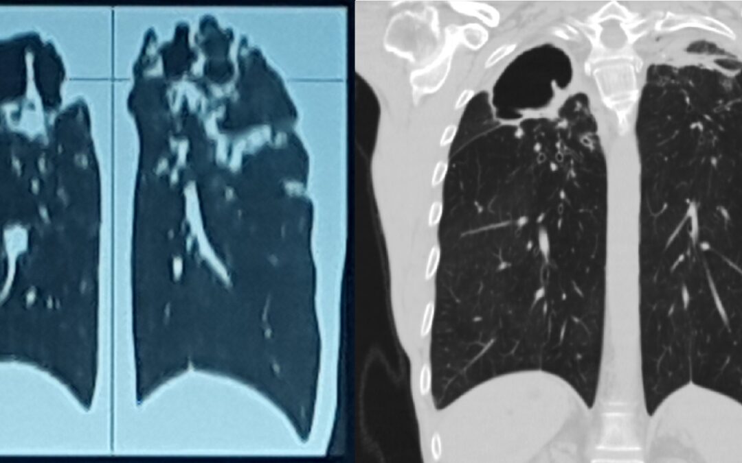
ფილტვის მოცულობის ბრონქოსკოპიული შემცირება ბულოზური ემფიზემის შემთხვევაში პაციენტი 42 წ მამაკაცი. აქტიური მწეველი. თავს ავად გრძნობს რამოდენიმე თვეა. ჩივილები: ძლიერი ქოშინი ფიზიკურ დატვირთვაზე, ჰაერის უკმარისობა, საერთო სისუსტე. გულმკერდის კტ კვლევით – ორივე...
მარცხენა მთავარი ბრონქის ბრტყელუჯრედოვანი კარცინომის რეზექცია და სტენტირება

მარცხენა მთავარი ბრონქის ბრტყელუჯრედოვანი კარცინომის რეზექცია და სტენტირება

მარცხენა მთავარი ბრონქის ბრტყელუჯრედოვანი კარცინომის რეზექცია და სტენტირება პაციენტი 70 წლის მამაკაცი. 2017 წელს დიაგნოსტირებული ბრონქის ბრტყელუჯრედოვანი კარცინომით. პაციენტი იმყოფება ქიმიოთერაპიაზე. მისი მდგომარეობა უარესდებოდა. სუნთქვა გაუძნელდა, გაუჩნდა შეტევითი...
მარცხენა მთავარი ბრონქის ბრონქობლოკაცია ტაკვის ბრონქო-პლევრული ფისტულის გამო

მარცხენა მთავარი ბრონქის ბრონქობლოკაცია ტაკვის ბრონქო-პლევრული ფისტულის გამო

მარცხენა მთავარი ბრონქის ბრონქობლოკაცია ტაკვის ბრონქო-პლევრული ფისტულის გამო პაციენტი 49 წლის მამაკაცი. 2017 წლის 01 აგვისტოს საციცოცხლო ჩვენებით გაუკეთდა მარცხენამხრივი პულმონექტომია ფილტვების ტუბერკულოზის გამო. ოპერაციიდან რამოდენიმე კვირაში განვითარდა ტაკვის...
პიოთორაქსი ფისტულით

პიოთორაქსი ფისტულით

პიოთორაქსი ფისტულით პაციენტი 27 წლის ქალი. 2012 წ-ს და განმეორებით 2016 წ-ს ჩატარებული აქვს ტუბსაწინააღმდეგო ქიმიოთერაპია ფილტვების ფიბროზულ-კავერნოზული ტუბერკულოზის გამო. 2017 წლის თებერვალში დაეწყო სისხლიანი ხველა სისხლდენის ეპიზოდებით. 2017 წლის მარტში საციცოცხლო...