ჩემი სამედიცინო ბლოგი
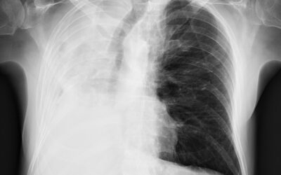
მარჯვენა მთავარი ბრონქის სტენტირება სიმსივნური ობტურაციის გამო
პაციენტი 57 წლის მამაკაცი, მოგვმართა ონკოლოგის რეკომენდაციით დიაგნოსტიკური ფიბრობრონქოსკოპიის ჩასატარებლად ბიოფსიით, რაც ჩატარდა 23.02.2026 წ. 2 კვირის შემდეგ განვითარდა ჰაერის მწვავე უკმარისობა მოხრჩობის შეგრძნება, სტრიდორული სუნთქვა. ჩატარებული გულმკერდის...
ტრაქეის პოსტინტუბაციური ნაწიბუროვანი სტენოზის ლაზერული რეზექცია
პაციენტი 37 წლის მამაკაცი, 2025 წლის აპრილში იყო ჰოსპიტალიზებული საყლაპავის ტრავმული ფისტულის გამო. ჩაუტარდა რამოდენიმე ოპერაცია საყლაპავსა და გულმკერდზე ემპიემის გამო. ივნისში განუვითარდა სტრიდორული სუნთქვა, ჰაერის უკმარისობა. თორაკოქირურგის მიერ მიეცა რეკომენდაცია...
ტრაქეის ბიფურკაციის ადენოკარცინომის ლაზერული რეზექცია
ტრაქეის ბიფურკაციის ადენოკარცინომის ლაზერული რეზექციაპაციენტი 55 წ მამაკაცი. მოგვმართა ონკოლოგის რეკომენდაციით დიაგნოსტიკური ბრონქოსკოპიის ჩასატარებლად ბიოფსიით. გულმკედის კტ კვლევით ინახა ტრაქეობრონქული კუთხის მიდამოს ენდობრონქული მოცულობითი წარმონაქმნი (16.09.2024)....
ტრაქეის და მარჯვენა მთავარი ბრონქის არაწვრილუჯრედოვანი კარცინომის ლაზერული რეზექცია
ტრაქეის და მარჯვენა მთავარი ბრონქის არაწვრილუჯრედოვანი კარცინომის ლაზერული რეზექციაპაციენტი 60 წლის მამაკაცი, დიაგნოსტირებული არაწვრილუჯრედოვანი კარცინომით. სიმსივნური პროცესი გავრცელდა მარცხენა მთავარ ბრონქში და ტრაქეის ქვედა მესამედზე, რამაც გამოიწვია პაციენტის...
მარჯვენა მთავარი ბრონქის ტიპური კარცინოიდის ლაზერული რეზექცია
მარჯვენა მთავარი ბრონქის ტიპური კარცინოიდის ლაზერული რეზექციაპაციენტი 45 წ ქალბატონი, მოგვმართა თორაკოქირურგის რეკომენდაციით. ჩივილები: ჰაერის უკმარისობის შეგრძნება, ადვილად დაღლა, ქოშინი ფიზიკურ დატვირთვაზე. აუსკულტაციით: მარჯვნივ ზედა ველში მსტვინავი ხიხინი....
გიგანტური ბულის სარქვლოვანი ბრონქობლოკაცია
გიგანტური ბულის სარქვლოვანი ბრონქობლოკაციაპაციენტი 45 წ ქალბატონი. 2022 წ თებერვალში გადაიტანა კოვიდ - 19 მძიმე ფორმაში სტაციონარის რეანიმაციულ განყოფილებაში, სადაც უტარდებოდა ოქსიგენოთერაპია CPAP da BiPAP რეჟიმებში. გამოწერიდან მალევე გაუჩნდა ჰაერის უკმარისობა,...
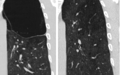
ფილტვის მოცულობის ბრონქოსკოპიული შემცირება ბულოზური ემფიზემის შემთხვევაში
ფილტვის მოცულობის ბრონქოსკოპიული შემცირება ბულოზური ემფიზემის შემთხვევაშიპაციენტი 42 წ მამაკაცი. აქტიური მწეველი. თავს ავად გრძნობს რამოდენიმე თვეა. ჩივილები: ძლიერი ქოშინი ფიზიკურ დატვირთვაზე, ჰაერის უკმარისობა, საერთო სისუსტე. გულმკერდის კტ კვლევით - ორივე ფილტვის...
მარცხენა მთავარი ბრონქის ბრტყელუჯრედოვანი კარცინომის რეზექცია და სტენტირება
მარცხენა მთავარი ბრონქის ბრტყელუჯრედოვანი კარცინომის რეზექცია და სტენტირებაპაციენტი 70 წლის მამაკაცი. 2017 წელს დიაგნოსტირებული ბრონქის ბრტყელუჯრედოვანი კარცინომით. პაციენტი იმყოფება ქიმიოთერაპიაზე. მისი მდგომარეობა უარესდებოდა. სუნთქვა გაუძნელდა, გაუჩნდა შეტევითი...
მარცხენა მთავარი ბრონქის ბრონქობლოკაცია ტაკვის ბრონქო-პლევრული ფისტულის გამო
მარცხენა მთავარი ბრონქის ბრონქობლოკაცია ტაკვის ბრონქო-პლევრული ფისტულის გამოპაციენტი 49 წლის მამაკაცი. 2017 წლის 01 აგვისტოს საციცოცხლო ჩვენებით გაუკეთდა მარცხენამხრივი პულმონექტომია ფილტვების ტუბერკულოზის გამო. ოპერაციიდან რამოდენიმე კვირაში განვითარდა ტაკვის...
პიოთორაქსი ფისტულით
პიოთორაქსი ფისტულითპაციენტი 27 წლის ქალი. 2012 წ-ს და განმეორებით 2016 წ-ს ჩატარებული აქვს ტუბსაწინააღმდეგო ქიმიოთერაპია ფილტვების ფიბროზულ-კავერნოზული ტუბერკულოზის გამო. 2017 წლის თებერვალში დაეწყო სისხლიანი ხველა სისხლდენის ეპიზოდებით. 2017 წლის მარტში საციცოცხლო...
მარცხენა ზ/წ ბრონქის სარქვლოვანი ბრონქობლოკაცია პოსტტუბერკულოზური კავერნებიდან სისხლდენის გამო
მარცხენა ზ/წ ბრონქის სარქვლოვანი ბრონქობლოკაცია პოსტტუბერკულოზური კავერნებიდან სისხლდენის გამოპაციენტი 57 წლის მამაკაცი. 2013 წ-ს ჩატარებული აქვს ტუბსაწინააღმდეგო ქიმიოთერაპია ფილტვების ტუბერკულოზის გამო. რამოდენიმე თვის წინ დაეწყო სისხლიანი ხველა, პერიოდულად...
ტრაქეობრონქიალური სტენტირება, მარცხენა მთავარი ბრონქის ნაწიბუროვანი სტენოზი
ტრაქეობრონქიალური სტენტირება, მარცხენა მთავარი ბრონქის ნაწიბუროვანი სტენოზიპაციენტი 49 წლის მამაკაცი. 2007 წ-ს ჩაუტარდა ტუბსაწინააღმდეგო ქიმიოთერაპია ფილტვების ტუბერკულოზის გამო. 2015 წ-ს ჰქონდა რელაფსი. წლების განმავლობაში პაციენტს ჰქონდა ქოშინი, მზარდი სუნთქვის...
უცხო სხეულის ამოღება
უცხო სხეულის ამოღება 31 წლის პატიმარმა თვითდაზიანების მიზნით გადაყლაპა რამოდენიმე ნივთი, მათ შორის ერთი რკინის ნივთი გადასცდა, რის გამოც გაუძნელდა სუნთქვა, გაუჩნდა სტრიდორი, ძლიერი ტკივილი მარჯვენა გვერდში მოძრაობის დროს. საციცოცხლო ჩვენებით, ზოგადი...
ტრაქეის სტენტირება; ბრტყელუჯრედოვანი გაურქოვანებელი კარცინომა
ტრაქეის სტენტირება; ბრტყელუჯრედოვანი გაურქოვანებელი კარცინომაპაციენტი, 41 წლის მამაკაცი, 2015 წლის ოქტომბერში დაესვა მარჯვენა ფილტვის ბრტყელუჯრედოვანი გაურქოვანებელი კარცინომის დიაგნოზი. მიუხედავად ქიმიოთერაპიისა და რადიაციული თერაპიისა, პაციენტის...
ბრონქოპლევრალური ხვრელმილი
ბრონქოპლევრალური ხვრელმილიპაციენტი 37 წლის ქალი. 1997 წ-ს გაკეთებული აქვს მარჯვენა ზედა წილის რეზექცია ფილტვის ტუბერკულოზის გამო. წლების განმავლობაში აქვს გამწვავებები, რაც გამოიხატება მაღალი ცხელებით, ხველით, დიდი რაოდენობით სისხლნარევი, მძაფრი სუნის მქონე ნახველის...
ლაზერული რეზექცია; მეზენქიმური წარმოშობის თითისტარაუჯრედული სიმსივნე
ლაზერული რეზექცია; მეზენქიმური წარმოშობის თითისტარაუჯრედული სიმსივნეპაციენტი 56 წლის მამაკაცი. მომართვამდე 2 თვის განმავლობაში პაციენტს ჰქონდა ქოშინი, შეტევითი ხასიათის ხველა, დაეწყო მაღალი ცხელება. გულმკერდის კტ კვლევით და ბრონქოსკოპიულად ინახა მარცხენა მთავარი...
ლაზერული რეზექცია & სტენტირება; ბრტყელუჯრედოვანი გურქოვანებელი კარცინომა
ლაზერული რეზექცია & სტენტირება; ბრტყელუჯრედოვანი გურქოვანებელი კარცინომაპაციენტი 52წლის მამაკაცი ერთი თვის ანამნეზით. გულმკერდის კტ კვლევით აღმოჩნდა 3,9-3,6სმ ზომის სუბკარინული ქსოვილოვანი კონგლომერატი, რომელიც იჭრება მარცხენა მთავარ ბრონქში და მთლიანად ახშობს...
სტენტირება; ბრტყელუჯრედოვანი გაურქოვანებელი კარცინომა
სტენტირება; ბრტყელუჯრედოვანი გაურქოვანებელი კარცინომაპაციენტი 56 წლის მამაკაცი. მოგვმართა ონკოლოგის რეკომენდაციით ბიოფსიის გასაკეთებლად. გულმკერდის ორგანოების კტ კვლევით ინახა მარცხნივ ფილტვის კარში 35-52მმ ზომის მოცულობითი წარმონაქმნი, რომელიც ახშობს ნაწილობრივ ზედა...
მარცხენა მთავარი ბრონქის ბაზალურუჯრედოვანი ადენომის ლაზერული რეზექცია
მარცხენა მთავარი ბრონქის ბაზალურუჯრედოვანი ადენომის ლაზერული რეზექცია პაციენტი 39 წლის მამაკაცი. გულმკერდის კტ კვლევით და ბრონქოსკოპიით ინახა მარცხენა მთავარ ბრონქში მოცულობითი წარმონაქმნი, რომელიც ახშობს სანათურს. ბიოფსიურ მასალაში მორფოლოგიურად ინახა...
სტენტირება; პოსტტუბერკულოზური ნაწიბუროვანი სტენოზი
პაციენტი 24 წლის ქალბატონი. ტუბსაწინააღმდეგო ქიმიოთერაპიის დასრულებიდან რამოდენიმე თვეში გაუჩნდა ჩივილები: სპაზმური ხველა, ქოშინი, მსტვინავი სუნთქვა. გულმკერდის კტ კვლევით ინახა მარცხენა მთავარი ბრონქის ობტურაცია კარინის დონიდან სანათურის დიამეტრით 2მმ....



















