მარჯვენა მთავარი ბრონქის სტენტირება სიმსივნური ობტურაციის გამო
პაციენტი 57 წლის მამაკაცი, მოგვმართა ონკოლოგის რეკომენდაციით დიაგნოსტიკური ფიბრობრონქოსკოპიის ჩასატარებლად ბიოფსიით, რაც ჩატარდა 23.02.2026 წ. 2 კვირის შემდეგ განვითარდა ჰაერის მწვავე უკმარისობა მოხრჩობის შეგრძნება, სტრიდორული სუნთქვა. ჩატარებული გულმკერდის რენტგენოგრაფიით ინახა მარჯვენა ფილტვის სრული ატელექტაზი, ბრონქოსკოპიით – მარჯვენა მთ/ბ სრული სიმსივნური ობტურაცია (16.03.2026 წ). დაიგეგმა მარჯვენა მთ/ბ სტენტირება რაც ჩატარდა 25 მარტს – შეირჩა Novatech – ის 8 მმ სილიკონის სტენტი, რომელიც მოთავსდა მარჯვენა მთავარი ბრონქის სანათურში. პაციენტმა გაატარა ერთი საწოლდღე და გაუმჯობესებულ მდგომარეობაში გაეწერა ბინაზე.
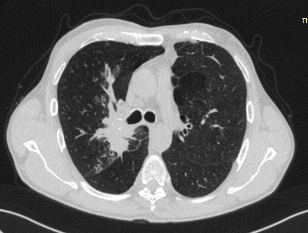
- გულმკერდის კტ აქსიალურ ჭრილში 2 თვით ადრე
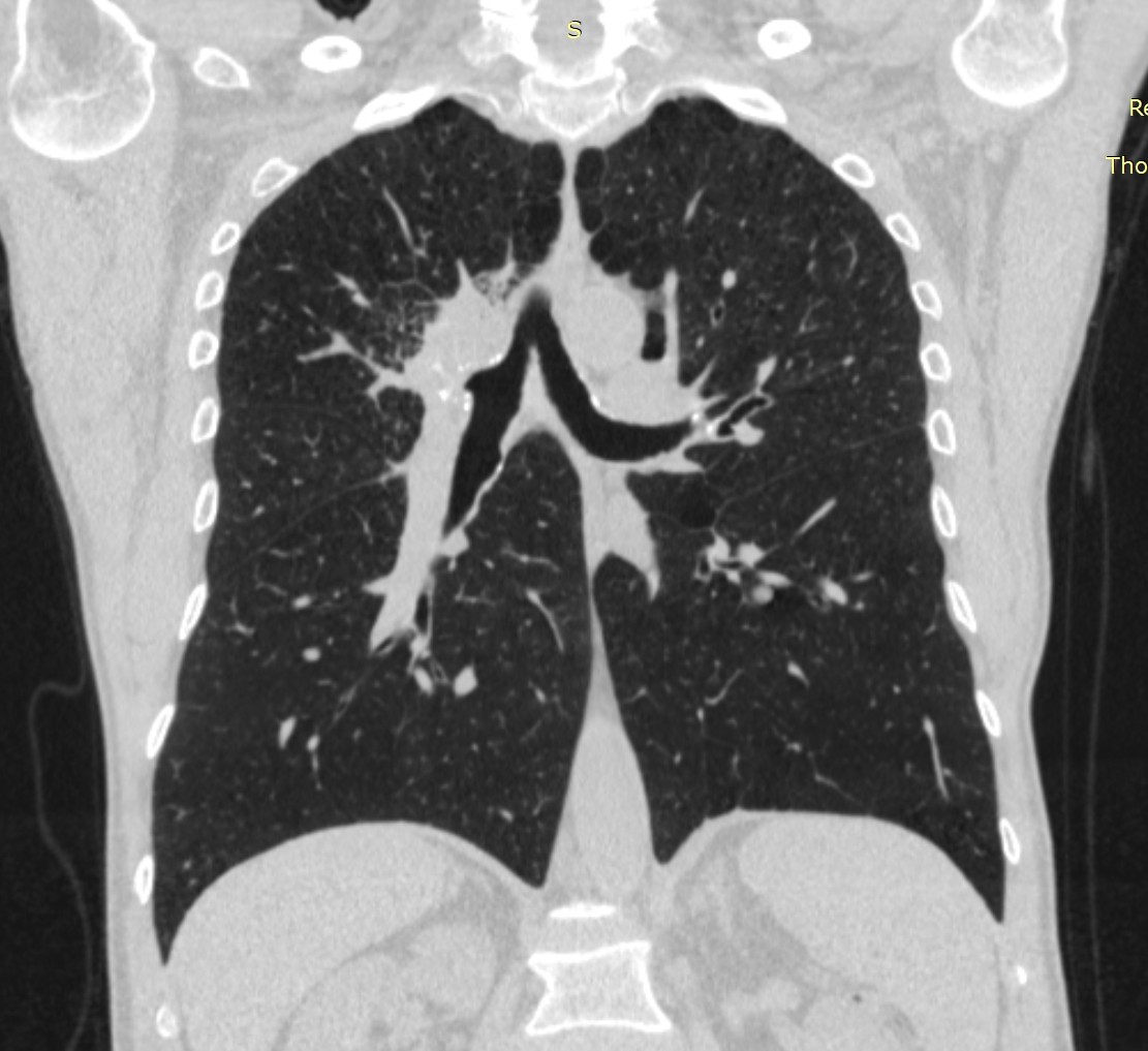
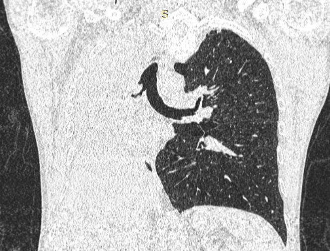
- გულმკერდის კტ კორონარულ ჭრილში 2 თვით ადრე.
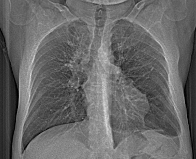
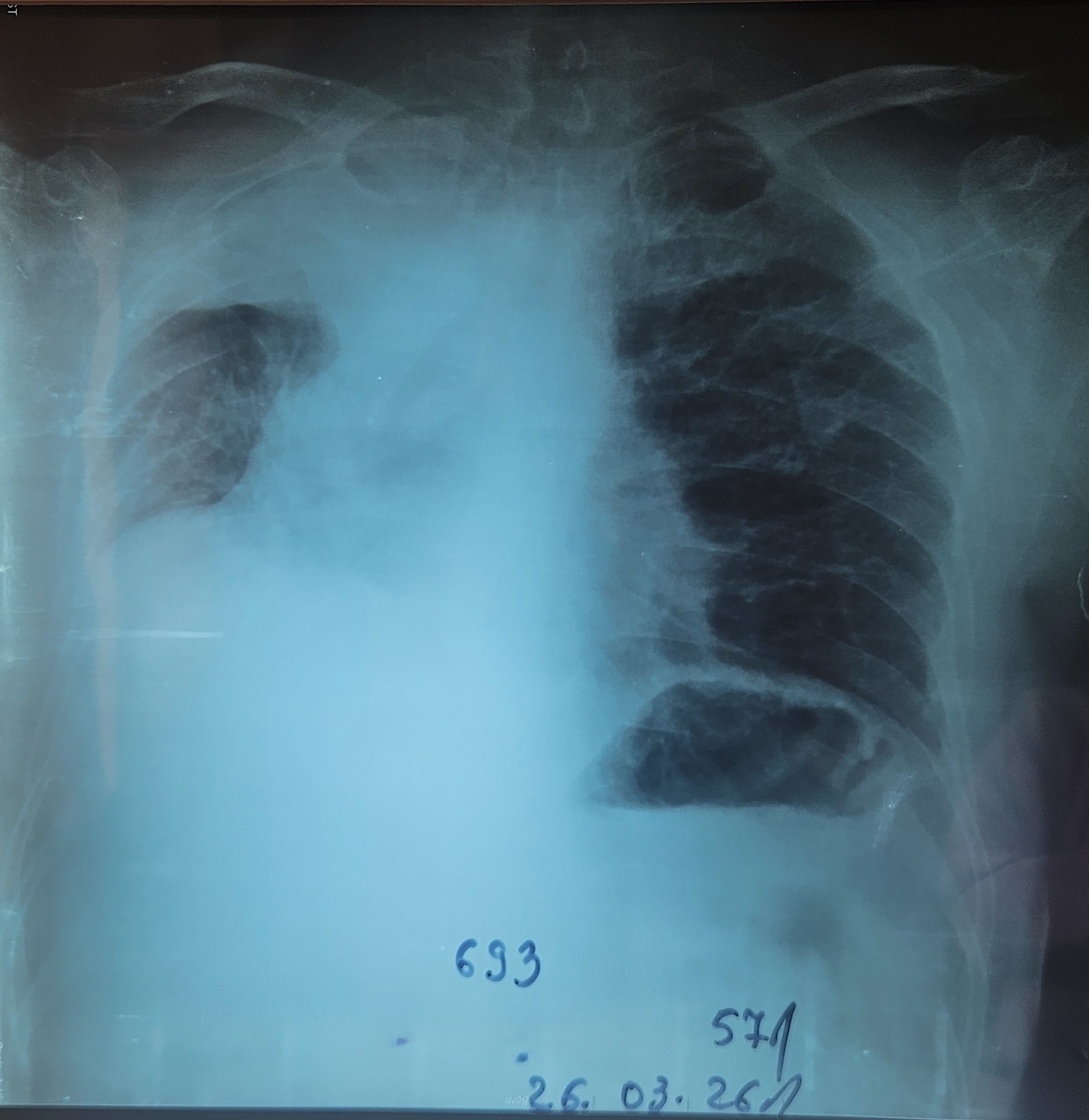
- გულმკერდის CXR 2 თვით ადრე.
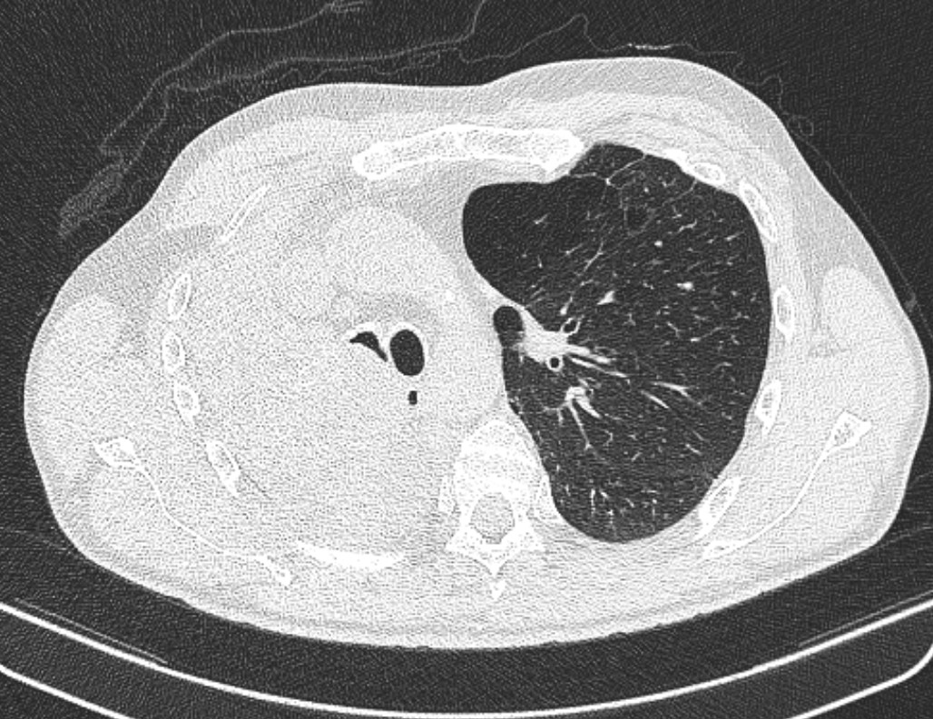
- გულმკერდის კტ აქსიალურ ჭრილში სტენტირების დღეს.
- გულმკერდის კტ კორონარულ ჭრილში სტენტირების დღეს.
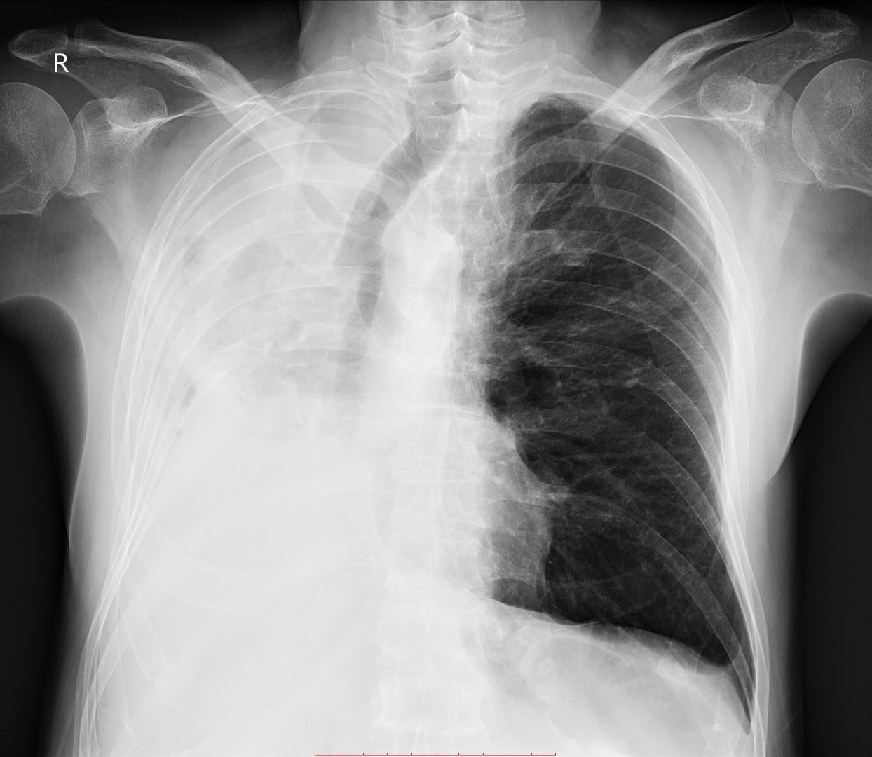
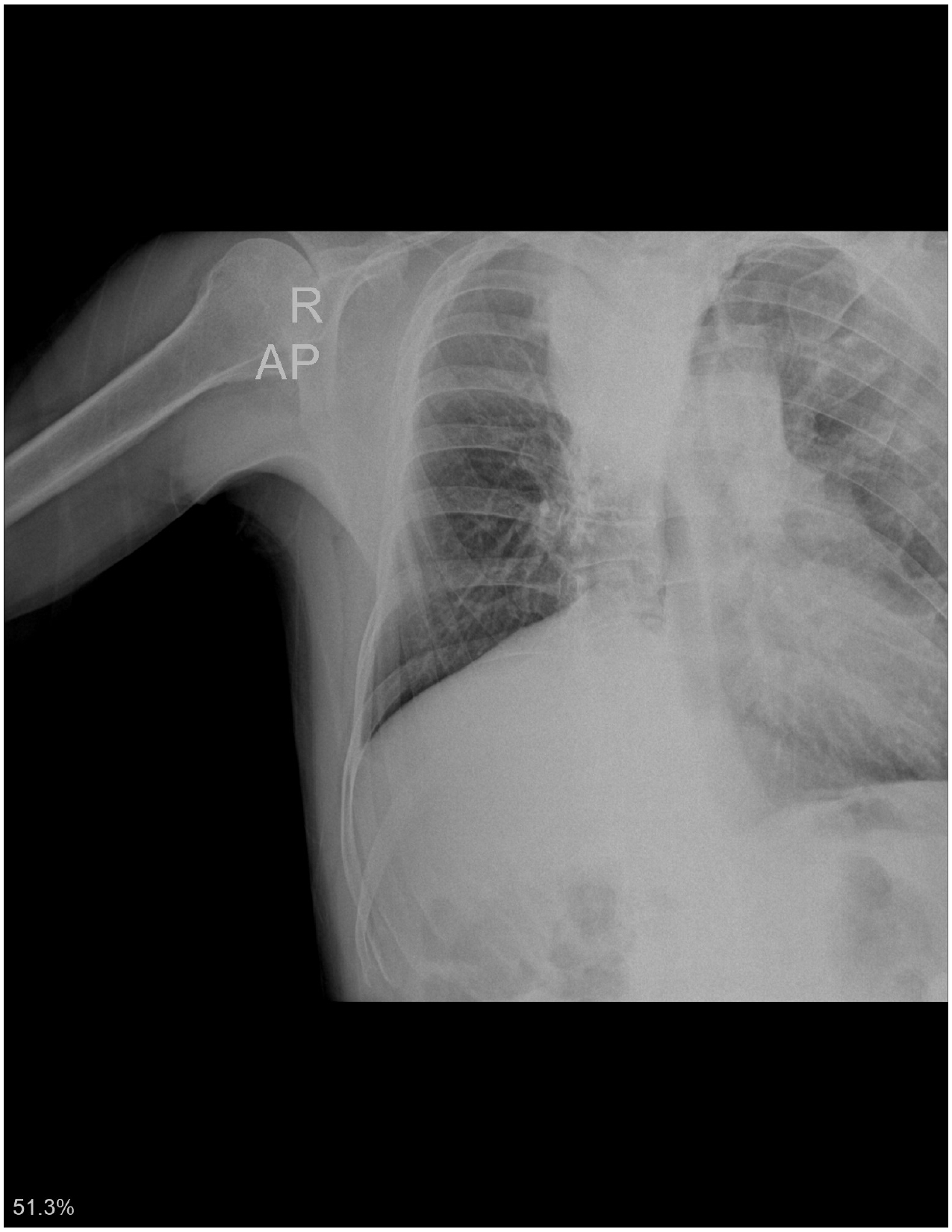
- გულმკერდის CXR სტენტირების დღეს.
- სტენტირება
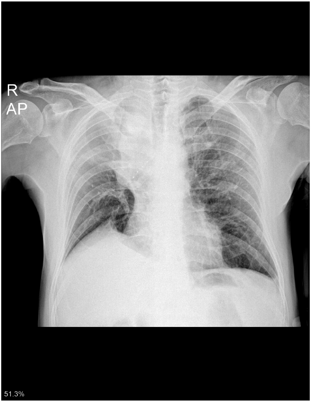
- CXR სტენტირების მეორე დღეს
- გულმკერდის CXR სტენტირების მეათე დღეს
- გულმკერდის CXR სტენტირების მეათე დღეს








