ფილტვის მოცულობის ბრონქოსკოპიული შემცირება ბულოზური ემფიზემის შემთხვევაში
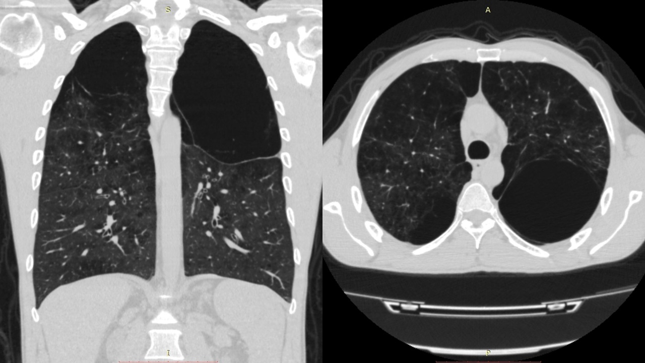
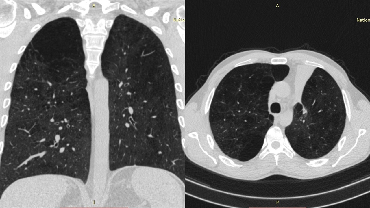
პაციენტი 42 წ მამაკაცი. აქტიური მწეველი. თავს ავად გრძნობს რამოდენიმე თვეა. ჩივილები: ძლიერი ქოშინი ფიზიკურ დატვირთვაზე, ჰაერის უკმარისობა, საერთო სისუსტე. გულმკერდის კტ კვლევით – ორივე ფილტვის ზედა წილებში გაიშვიათებული ფილტვის ქსოვილი, გიგანტური ბულები 10-14 სმ ზომის (16 იან 2020 წ). ბოდიპლეტიზმოგრაფიით – RV (Pleth) 3.90 ლ (Normal Range 1.14-2.49 ლ) (18 თებ 2020 წ). 2020 წლის 18 თებერვალს მარცხენა ფილტვის მოცულობის შემცირების მიზნით პაციენტს ჩაუტარდა რიგიდული ბრონქოსკოპია – სარქვლოვანი ბრონქობლოკაცია. ზოგადი გაუტკივარების ქვეშ ტრაქეაში შეყვანილი იყო Friedel-ის რიგიდული ბრონქოსკოპი. გამოყენებული იყო ტუბუსი N13. მარცხენა ზ/წ ბრონქის სანათურში მოთავსდა სარქვლოვანი ბრონქობლოკატორი N15. მანიპულაციიდან 3 თვის შემდეგ საკონტროლო გულმკერდის კტ კვლევით – მარცხენა ზედა წილში გიგანტური ბულა აღარ ფიქსირდება, ბოდიპლეტიზმოგრაფიით – RV (Pleth) 2.44 ლ (Normal Range 1.14-2.49 ლ) (25 მარ 2020 წ). გულმკერდის კტ კვლევით დადებითი დინამიკა შენარჩუნდა 9 და 12 თვის შემდეგ.



