ტრაქეის პოსტინტუბაციური ნაწიბუროვანი სტენოზის ლაზერული რეზექცია

ტრაქეის პოსტინტუბაციური ნაწიბუროვანი სტენოზის ლაზერული რეზექცია

პაციენტი 37 წლის მამაკაცი, 2025 წლის აპრილში იყო ჰოსპიტალიზებული საყლაპავის ტრავმული ფისტულის გამო. ჩაუტარდა რამოდენიმე ოპერაცია საყლაპავსა და გულმკერდზე ემპიემის გამო. ივნისში განუვითარდა სტრიდორული სუნთქვა, ჰაერის უკმარისობა. თორაკოქირურგის მიერ მიეცა რეკომენდაცია...
ტრაქეის ბიფურკაციის ადენოკარცინომის ლაზერული რეზექცია

ტრაქეის ბიფურკაციის ადენოკარცინომის ლაზერული რეზექცია

პაციენტი 55 წ მამაკაცი. მოგვმართა ონკოლოგის რეკომენდაციით დიაგნოსტიკური ბრონქოსკოპიის ჩასატარებლად ბიოფსიით. გულმკედის კტ კვლევით ინახა ტრაქეობრონქული კუთხის მიდამოს ენდობრონქული მოცულობითი წარმონაქმნი (16.09.2024). ფიბრობრონქოსკოპიის დროს ინახა მოცულობითი წარმონაქმნი...
ტრაქეის და მარჯვენა მთავარი ბრონქის  არაწვრილუჯრედოვანი კარცინომის ლაზერული რეზექცია

ტრაქეის და მარჯვენა მთავარი ბრონქის  არაწვრილუჯრედოვანი კარცინომის ლაზერული რეზექცია

პაციენტი 60 წლის მამაკაცი, დიაგნოსტირებული არაწვრილუჯრედოვანი კარცინომით. სიმსივნური პროცესი გავრცელდა მარცხენა მთავარ ბრონქში და ტრაქეის ქვედა მესამედზე, რამაც გამოიწვია პაციენტის კლინიკური მდგომარეობის კრიტიკული დამძიმება, რაც გამოიხატა ჰაერის ძლიერი უკმარისობით,...
მარჯვენა მთავარი ბრონქის ტიპური კარცინოიდის ლაზერული რეზექცია

მარჯვენა მთავარი ბრონქის ტიპური კარცინოიდის ლაზერული რეზექცია

პაციენტი 45 წ ქალბატონი, მოგვმართა თორაკოქირურგის რეკომენდაციით. ჩივილები: ჰაერის უკმარისობის შეგრძნება, ადვილად დაღლა, ქოშინი ფიზიკურ დატვირთვაზე. აუსკულტაციით: მარჯვნივ ზედა ველში მსტვინავი ხიხინი. ჩატარებული გულმკერდის კტ კვლევით – მარჯვენა ზ/წ ბრონქში 0.8 სმ...
გიგანტური ბულის სარქვლოვანი ბრონქობლოკაცია

გიგანტური ბულის სარქვლოვანი ბრონქობლოკაცია

პაციენტი 45 წ ქალბატონი. 2022 წ თებერვალში გადაიტანა კოვიდ – 19 მძიმე ფორმაში სტაციონარის რეანიმაციულ განყოფილებაში, სადაც უტარდებოდა ოქსიგენოთერაპია CPAP da BiPAP რეჟიმებში. გამოწერიდან მალევე გაუჩნდა ჰაერის უკმარისობა, ქოშინი ფიზიკურ დატვირთვაზე, შემაწუხებელი...
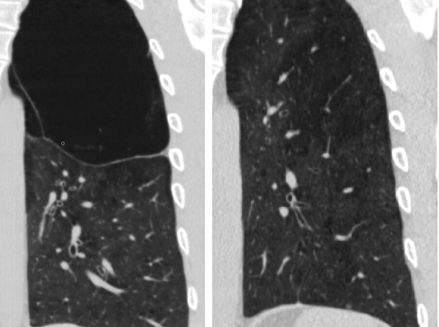
ფილტვის მოცულობის ბრონქოსკოპიული შემცირება ბულოზური ემფიზემის შემთხვევაში

ფილტვის მოცულობის ბრონქოსკოპიული შემცირება ბულოზური ემფიზემის შემთხვევაში

პაციენტი 42 წ მამაკაცი. აქტიური მწეველი. თავს ავად გრძნობს რამოდენიმე თვეა. ჩივილები: ძლიერი ქოშინი ფიზიკურ დატვირთვაზე, ჰაერის უკმარისობა, საერთო სისუსტე. გულმკერდის კტ კვლევით – ორივე ფილტვის ზედა წილებში გაიშვიათებული ფილტვის ქსოვილი, გიგანტური ბულები 10-14...
მარცხენა მთავარი ბრონქის ბრტყელუჯრედოვანი კარცინომის რეზექცია და სტენტირება

მარცხენა მთავარი ბრონქის ბრტყელუჯრედოვანი კარცინომის რეზექცია და სტენტირება

პაციენტი 70 წლის მამაკაცი. 2017 წელს დიაგნოსტირებული ბრონქის ბრტყელუჯრედოვანი კარცინომით. პაციენტი იმყოფება ქიმიოთერაპიაზე. მისი მდგომარეობა უარესდებოდა. სუნთქვა გაუძნელდა, გაუჩნდა შეტევითი ხასიათის ხველა სისხლიანი ნახველით, ტკივილი მარცხენა გვერდში, უძილობა....
მარცხენა მთავარი ბრონქის ბრონქობლოკაცია ტაკვის ბრონქო-პლევრული ფისტულის გამო

მარცხენა მთავარი ბრონქის ბრონქობლოკაცია ტაკვის ბრონქო-პლევრული ფისტულის გამო

პაციენტი 49 წლის მამაკაცი. 2017 წლის 01 აგვისტოს საციცოცხლო ჩვენებით გაუკეთდა მარცხენამხრივი პულმონექტომია ფილტვების ტუბერკულოზის გამო. ოპერაციიდან რამოდენიმე კვირაში განვითარდა ტაკვის უკმარისობა, ჩამოყალიბდა პიოპნევმოთორაქსი. პაციენტის მდგომარეობა მძიმდებოდა, რის...
პიოთორაქსი ფისტულით

პიოთორაქსი ფისტულით

პაციენტი 27 წლის ქალი. 2012 წ-ს და განმეორებით 2016 წ-ს ჩატარებული აქვს ტუბსაწინააღმდეგო ქიმიოთერაპია ფილტვების ფიბროზულ-კავერნოზული ტუბერკულოზის გამო. 2017 წლის თებერვალში დაეწყო სისხლიანი ხველა სისხლდენის ეპიზოდებით. 2017 წლის მარტში საციცოცხლო ჩვენებით ჩატარდა...
მარცხენა ზ/წ ბრონქის სარქვლოვანი ბრონქობლოკაცია პოსტტუბერკულოზური კავერნებიდან სისხლდენის გამო

მარცხენა ზ/წ ბრონქის სარქვლოვანი ბრონქობლოკაცია პოსტტუბერკულოზური კავერნებიდან სისხლდენის გამო

პაციენტი 57 წლის მამაკაცი. 2013 წ-ს ჩატარებული აქვს ტუბსაწინააღმდეგო ქიმიოთერაპია ფილტვების ტუბერკულოზის გამო. რამოდენიმე თვის წინ დაეწყო სისხლიანი ხველა, პერიოდულად სისხლდენის ეპიზოდებით. მუდმივად იმყოფება ჰემოსტატიურ პრეპარატებზე, რომელთა მიმართ განუვითარდა...