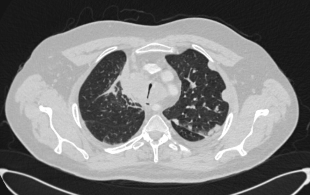
Клапанная бронхоблокация; Кровотечение из туберкулезных каверн легкого

Клапанная бронхоблокация; Кровотечение из туберкулезных каверн легкого

Клапанная бронхоблокация; Кровотечение из туберкулезных каверн легкого Больной 57 летний мужчина. В 2013 году был лечен по поводу туберкулеза легких. Несколько месяцев назад у него появилось кровохарканье с эпизодами кровотечения. Пациент постоянно находится на...
Трахеобронхиальное стентирование, рубцовый стеноз левого главного бронха.

Трахеобронхиальное стентирование, рубцовый стеноз левого главного бронха.

Трахеобронхиальное стентирование, рубцовый стеноз левого главного бронха. Пациент 49 летний мужчина. В 2007 году он лечился по поводу туберкулеза легких. В 2015 году — релапс. В течении многих лет у пациента одышка, возростаюшаяся недостаточность дыхания, из за...
Извлечение инородного тела

Извлечение инородного тела

Извлечение инородного тела 31 летний заключенный в целях самоповреждения проглотил несколько предметов, в том числе один железный предмет попал в дыхательные пути, в связи с чем у него затруднилось дыхание, появился стридор, возникла сильная боль в правой области...
Стентирование трахеи; Плоскоклеточный рак

Стентирование трахеи; Плоскоклеточный рак

Стентирование трахеи; Плоскоклеточный рак Б-ой 41 лет, в октябре 2015 года был диагностирован плоскоклеточный рак правого легкого. Несмотря на химиотерапию и лучевую терапию, клинико-лабораторные и радиологические показатели б-го ухудшились. Возник стридор, ощущение...
Бронхоплевральный свищ.

Бронхоплевральный свищ.

Бронхоплевральный свищ Пациентка, 37 лет. В 1997 году перенесла резекцию правой верхней доли лёгкого по поводу туберкулёза лёгких. В течение длительного времени отмечались кашель с обильной гнойно-геморрагической мокротой. Периодически возникали обострения, в связи с...