ჩემი სამედიცინო ბლოგი
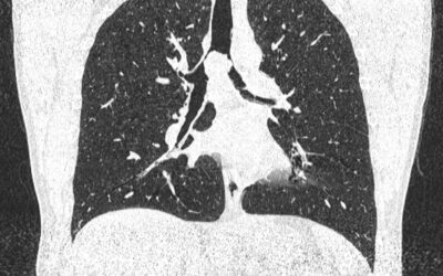
ტრაქეის პოსტინტუბაციური ნაწიბუროვანი სტენოზის ლაზერული რეზექცია
პაციენტი 37 წლის მამაკაცი, 2025 წლის აპრილში იყო ჰოსპიტალიზებული საყლაპავის ტრავმული ფისტულის გამო. ჩაუტარდა რამოდენიმე ოპერაცია საყლაპავსა და გულმკერდზე ემპიემის გამო. ივნისში განუვითარდა სტრიდორული სუნთქვა, ჰაერის უკმარისობა. თორაკოქირურგის მიერ მიეცა რეკომენდაცია...
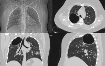
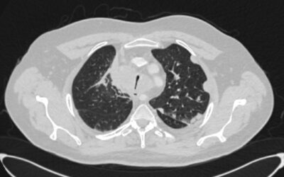
ტრაქეის ბიფურკაციის ადენოკარცინომის ლაზერული რეზექცია
პაციენტი 55 წ მამაკაცი. მოგვმართა ონკოლოგის რეკომენდაციით დიაგნოსტიკური ბრონქოსკოპიის ჩასატარებლად ბიოფსიით. გულმკედის კტ კვლევით ინახა ტრაქეობრონქული კუთხის მიდამოს ენდობრონქული მოცულობითი წარმონაქმნი (16.09.2024). ფიბრობრონქოსკოპიის დროს ინახა მოცულობითი წარმონაქმნი...
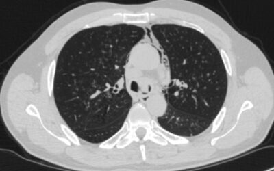
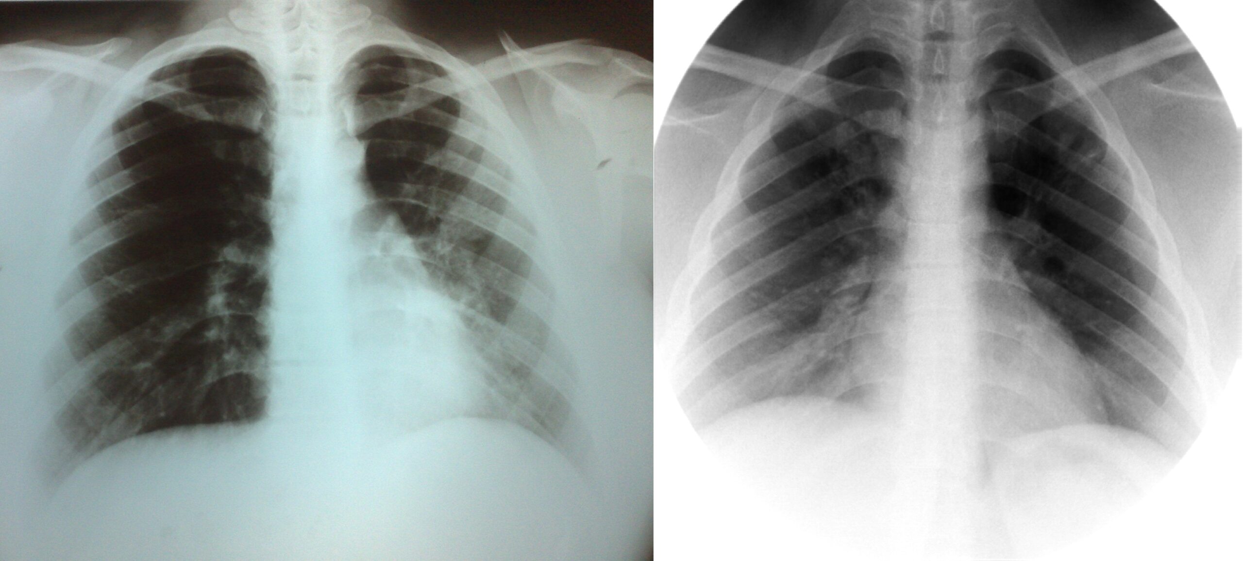
ტრაქეის და მარჯვენა მთავარი ბრონქის არაწვრილუჯრედოვანი კარცინომის ლაზერული რეზექცია
პაციენტი 60 წლის მამაკაცი, დიაგნოსტირებული არაწვრილუჯრედოვანი კარცინომით. სიმსივნური პროცესი გავრცელდა მარცხენა მთავარ ბრონქში და ტრაქეის ქვედა მესამედზე, რამაც გამოიწვია პაციენტის კლინიკური მდგომარეობის კრიტიკული დამძიმება, რაც გამოიხატა ჰაერის ძლიერი უკმარისობით,...
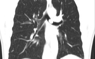
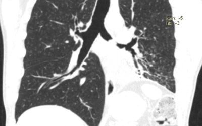
მარჯვენა მთავარი ბრონქის ტიპური კარცინოიდის ლაზერული რეზექცია
პაციენტი 45 წ ქალბატონი, მოგვმართა თორაკოქირურგის რეკომენდაციით. ჩივილები: ჰაერის უკმარისობის შეგრძნება, ადვილად დაღლა, ქოშინი ფიზიკურ დატვირთვაზე. აუსკულტაციით: მარჯვნივ ზედა ველში მსტვინავი ხიხინი. ჩატარებული გულმკერდის კტ კვლევით - მარჯვენა ზ/წ ბრონქში 0.8 სმ ზომის...
გიგანტური ბულის სარქვლოვანი ბრონქობლოკაცია
პაციენტი 45 წ ქალბატონი. 2022 წ თებერვალში გადაიტანა კოვიდ - 19 მძიმე ფორმაში სტაციონარის რეანიმაციულ განყოფილებაში, სადაც უტარდებოდა ოქსიგენოთერაპია CPAP da BiPAP რეჟიმებში. გამოწერიდან მალევე გაუჩნდა ჰაერის უკმარისობა, ქოშინი ფიზიკურ დატვირთვაზე, შემაწუხებელი მშრალი...
ფილტვის მოცულობის ბრონქოსკოპიული შემცირება ბულოზური ემფიზემის შემთხვევაში
პაციენტი 42 წ მამაკაცი. აქტიური მწეველი. თავს ავად გრძნობს რამოდენიმე თვეა. ჩივილები: ძლიერი ქოშინი ფიზიკურ დატვირთვაზე, ჰაერის უკმარისობა, საერთო სისუსტე. გულმკერდის კტ კვლევით - ორივე ფილტვის ზედა წილებში გაიშვიათებული ფილტვის ქსოვილი, გიგანტური ბულები 10-14 სმ...
მარცხენა მთავარი ბრონქის ბრტყელუჯრედოვანი კარცინომის რეზექცია და სტენტირება
პაციენტი 70 წლის მამაკაცი. 2017 წელს დიაგნოსტირებული ბრონქის ბრტყელუჯრედოვანი კარცინომით. პაციენტი იმყოფება ქიმიოთერაპიაზე. მისი მდგომარეობა უარესდებოდა. სუნთქვა გაუძნელდა, გაუჩნდა შეტევითი ხასიათის ხველა სისხლიანი ნახველით, ტკივილი მარცხენა გვერდში, უძილობა....
მარცხენა მთავარი ბრონქის ბრონქობლოკაცია ტაკვის ბრონქო-პლევრული ფისტულის გამო
პაციენტი 49 წლის მამაკაცი. 2017 წლის 01 აგვისტოს საციცოცხლო ჩვენებით გაუკეთდა მარცხენამხრივი პულმონექტომია ფილტვების ტუბერკულოზის გამო. ოპერაციიდან რამოდენიმე კვირაში განვითარდა ტაკვის უკმარისობა, ჩამოყალიბდა პიოპნევმოთორაქსი. პაციენტის მდგომარეობა მძიმდებოდა, რის...
პიოთორაქსი ფისტულით
პაციენტი 27 წლის ქალი. 2012 წ-ს და განმეორებით 2016 წ-ს ჩატარებული აქვს ტუბსაწინააღმდეგო ქიმიოთერაპია ფილტვების ფიბროზულ-კავერნოზული ტუბერკულოზის გამო. 2017 წლის თებერვალში დაეწყო სისხლიანი ხველა სისხლდენის ეპიზოდებით. 2017 წლის მარტში საციცოცხლო ჩვენებით ჩატარდა...
მარცხენა ზ/წ ბრონქის სარქვლოვანი ბრონქობლოკაცია პოსტტუბერკულოზური კავერნებიდან სისხლდენის გამო
პაციენტი 57 წლის მამაკაცი. 2013 წ-ს ჩატარებული აქვს ტუბსაწინააღმდეგო ქიმიოთერაპია ფილტვების ტუბერკულოზის გამო. რამოდენიმე თვის წინ დაეწყო სისხლიანი ხველა, პერიოდულად სისხლდენის ეპიზოდებით. მუდმივად იმყოფება ჰემოსტატიურ პრეპარატებზე, რომელთა მიმართ განუვითარდა...
ტრაქეობრონქიალური სტენტირება, მარცხენა მთავარი ბრონქის ნაწიბუროვანი სტენოზი
პაციენტი 49 წლის მამაკაცი. 2007 წ-ს ჩაუტარდა ტუბსაწინააღმდეგო ქიმიოთერაპია ფილტვების ტუბერკულოზის გამო. 2015 წ-ს ჰქონდა რელაფსი. წლების განმავლობაში პაციენტს ჰქონდა ქოშინი, მზარდი სუნთქვის უკმარისობა, რის გამოც ხშირად საჭიროებდა ჰოსპიტალიზაციას. 2016 წლის...
უცხო სხეულის ამოღება
31 წლის პატიმარმა თვითდაზიანების მიზნით გადაყლაპა რამოდენიმე ნივთი, მათ შორის ერთი რკინის ნივთი გადასცდა, რის გამოც გაუძნელდა სუნთქვა, გაუჩნდა სტრიდორი, ძლიერი ტკივილი მარჯვენა გვერდში მოძრაობის დროს. საციცოცხლო ჩვენებით, ზოგადი გაუტკივარების პირობებში ჩატარდა...
ტრაქეის სტენტირება; ბრტყელუჯრედოვანი გაურქოვანებელი კარცინომა
პაციენტი, 41 წლის მამაკაცი, 2015 წლის ოქტომბერში დაესვა მარჯვენა ფილტვის ბრტყელუჯრედოვანი გაურქოვანებელი კარცინომის დიაგნოზი. მიუხედავად ქიმიოთერაპიისა და რადიაციული თერაპიისა, პაციენტის კლინიკო-ლაბორატორიული და რადიოლოგიური მონაცემები გაუარესდა. გაუჩნდა სტრიდორული...
ბრონქოპლევრალური ხვრელმილი
პაციენტი 37 წლის ქალი. 1997 წ-ს გაკეთებული აქვს მარჯვენა ზედა წილის რეზექცია ფილტვის ტუბერკულოზის გამო. წლების განმავლობაში აქვს გამწვავებები, რაც გამოიხატება მაღალი ცხელებით, ხველით, დიდი რაოდენობით სისხლნარევი, მძაფრი სუნის მქონე ნახველის გამოყოფით. რენტგენოლოგიურად...
ლაზერული რეზექცია; მეზენქიმური წარმოშობის თითისტარაუჯრედული სიმსივნე
პაციენტი 56 წლის მამაკაცი. მომართვამდე 2 თვის განმავლობაში პაციენტს ჰქონდა ქოშინი, შეტევითი ხასიათის ხველა, დაეწყო მაღალი ცხელება. გულმკერდის კტ კვლევით და ბრონქოსკოპიულად ინახა მარცხენა მთავარი ბრონქის ენდობრონქიალური წარმონაქმნი, რომელიც მთლიანად ახშობდა სანათურს....
ლაზერული რეზექცია & სტენტირება; ბრტყელუჯრედოვანი გურქოვანებელი კარცინომა
პაციენტი 52წლის მამაკაცი ერთი თვის ანამნეზით. გულმკერდის კტ კვლევით აღმოჩნდა 3,9-3,6სმ ზომის სუბკარინული ქსოვილოვანი კონგლომერატი, რომელიც იჭრება მარცხენა მთავარ ბრონქში და მთლიანად ახშობს მას, ნაწილობრივ ახშობს მარჯვენა ზ/წილოვან ბრონქს. ბიოფსიის მორფოლოგიით დადგინდა...
სტენტირება; ბრტყელუჯრედოვანი გაურქოვანებელი კარცინომა
პაციენტი 56 წლის მამაკაცი. მოგვმართა ონკოლოგის რეკომენდაციით ბიოფსიის გასაკეთებლად. გულმკერდის ორგანოების კტ კვლევით ინახა მარცხნივ ფილტვის კარში 35-52მმ ზომის მოცულობითი წარმონაქმნი, რომელიც ახშობს ნაწილობრივ ზედა ხოლო სრულად ქვ/წილოვანი ბრონქების სანათურებს, რაც...
მარცხენა მთავარი ბრონქის ბაზალურუჯრედოვანი ადენომის ლაზერული რეზექცია
პაციენტი 39 წლის მამაკაცი. გულმკერდის კტ კვლევით და ბრონქოსკოპიით ინახა მარცხენა მთავარ ბრონქში მოცულობითი წარმონაქმნი, რომელიც ახშობს სანათურს. ბიოფსიურ მასალაში მორფოლოგიურად ინახა ბაზალურუჯრედოვანი ადენომა. თორაკოქირურგებმა პროცესის ლოკალიზაციიდან გამომდინარე...
სტენტირება; პოსტტუბერკულოზური ნაწიბუროვანი სტენოზი
პაციენტი 24 წლის ქალბატონი. ტუბსაწინააღმდეგო ქიმიოთერაპიის დასრულებიდან რამოდენიმე თვეში გაუჩნდა ჩივილები: სპაზმური ხველა, ქოშინი, მსტვინავი სუნთქვა. გულმკერდის კტ კვლევით ინახა მარცხენა მთავარი ბრონქის ობტურაცია კარინის დონიდან სანათურის დიამეტრით 2მმ....


















