Мой медицинский блог
Здесь вы можете найти записи с интересными случаями, новости о области бронхоскопии и многое другое.
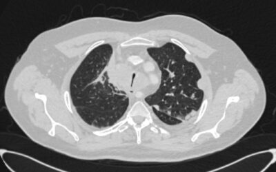
Клапанная бронхоблокация; Кровотечение из туберкулезных каверн легкого
Клапанная бронхоблокация; Кровотечение из туберкулезных каверн легкого Больной 57 летний мужчина. В 2013 году был лечен по поводу туберкулеза легких. Несколько месяцев назад у него появилось кровохарканье с эпизодами кровотечения. Пациент постоянно находится на...
Трахеобронхиальное стентирование, рубцовый стеноз левого главного бронха.
Трахеобронхиальное стентирование, рубцовый стеноз левого главного бронха.Пациент 49 летний мужчина. В 2007 году он лечился по поводу туберкулеза легких. В 2015 году - релапс. В течении многих лет у пациента одышка, возростаюшаяся недостаточность дыхания, из за чего...
Пиоторакс с фистулой
Пиоторакс с фистулой Пациентка 54 летняя женщина. В 1989 году ей сделана резекция нижней доли левого легкого по поводу бронхоэктатической болезни. В течении многих лет у нее периодически отмечаются обострения проявляющиеся лихорадкой, кашлем с выделением большого...
Стентирование правого главного бронха; Раковый стеноз
Стентирование правого главного бронха; Раковый стеноз Пациент 65 летний мужчина. В ноябре 2016 года поступил в Национальный Центр Туберкулеза и Легочных Болезней на обследование по подозрению на туберкулез правого легкого. Основные жалобы были на кровохарканье с...
Извлечение инородного тела
Извлечение инородного тела 31 летний заключенный в целях самоповреждения проглотил несколько предметов, в том числе один железный предмет попал в дыхательные пути, в связи с чем у него затруднилось дыхание, появился стридор, возникла сильная боль в правой области...
Лазерная резекция; веретеноклеточная опухоль мезенхимального происхождения.
Лазерная резекция; веретеноклеточная опухоль мезенхимального происхождения. Пациент 56 летний мужчина. До поступления в течении 2 месяцев были жалобы на одышку, приступообразный кашель, высокую температуру. С помощю КТ грудной клетки и бронхоскопии было обнаружено...

