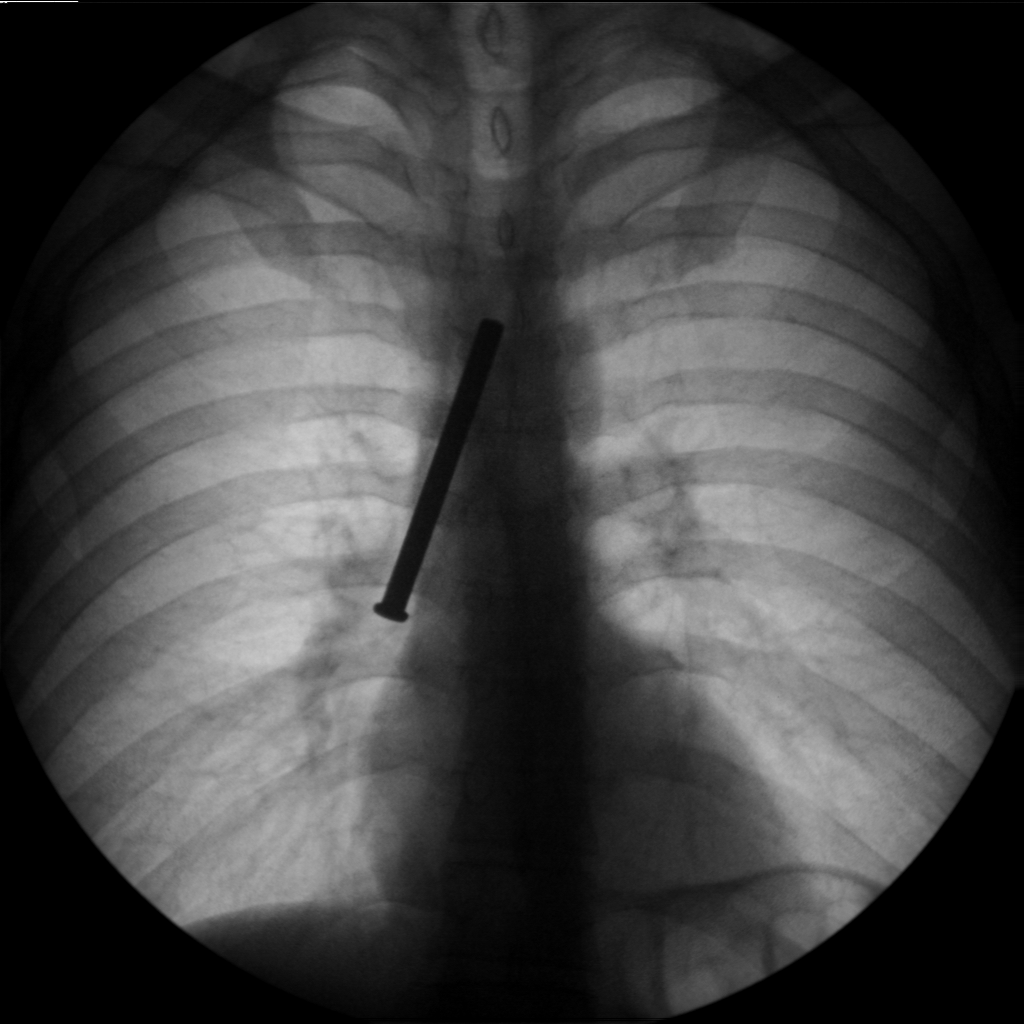
31 წლის პატიმარმა თვითდაზიანების მიზნით გადაყლაპა რამოდენიმე ნივთი, მათ შორის ერთი რკინის ნივთი გადასცდა, რის გამოც გაუძნელდა სუნთქვა, გაუჩნდა სტრიდორი, ძლიერი ტკივილი მარჯვენა გვერდში მოძრაობის დროს. საციცოცხლო ჩვენებით, ზოგადი გაუტკივარების პირობებში ჩატარდა რიგიდული ბრონქოსკოპია. გამოყენებული იყო ყველაზე დიდი ზომის ტუბუსი №13. ამოღების პროცესს ართულებდა უცხო სხეულის დიდი ზომა (სიგრძეში 10სმ). რამოდენიმე წარუმატებელი მცდელობის ბოლოს მოხერხდა უცხო სხეულის ექსტრაქცია. მანიპულაცია ჩატარდა გართულებების გარეშე.
- დიდი ზომის უცხო სხეული მარჯვენა მთ/ბ
- უცხო სხეული გვერდით პროექციაში
- ამოღებული უცხო სხეული
- უცხო სხეულის ექსტრაქცია



უცხოსხეულის ექსტრაქცია რიგიდული ბრონქოსკოპის გამოყენებით.