პაციენტი 24 წლის ქალბატონი. ტუბსაწინააღმდეგო ქიმიოთერაპიის დასრულებიდან რამოდენიმე თვეში გაუჩნდა ჩივილები: სპაზმური ხველა, ქოშინი, მსტვინავი სუნთქვა. გულმკერდის კტ კვლევით ინახა მარცხენა მთავარი ბრონქის ობტურაცია კარინის დონიდან სანათურის დიამეტრით 2მმ. ბრონქოსკოპიულად ინახა მარცხენა მთავარი ბრონქის ობტურაცია ქინძისთავის ზომის სანათურამდე და ფიბროზული ცვლილებები. ზოგადი გაუტკივარების პირობებში ჩაიდგა ბალონ-განშლადი, დაუფარავი სტენტი, რომელიც გაიშალა ინდეფლატორით 9 ატმოსფერომდე წნევით. სტენტირებისთანავე გაკეთებული ბრონქოგრაფიით ინახა გაშლილი მარცხენა მთავარი ბრონქი.
- გულმკერდის კტ სტენტირებამდე (Coronal) 8 თვით ადრე
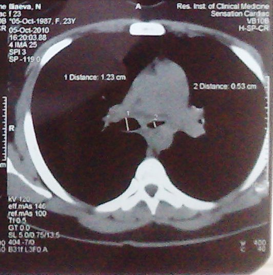
- გულმკერდის კტ სტენტირებამდე (Axial) 8 თვით ადრე
- გულმკერდის კტ სტენტირებამდე (Axial) 2 დღით ადრე
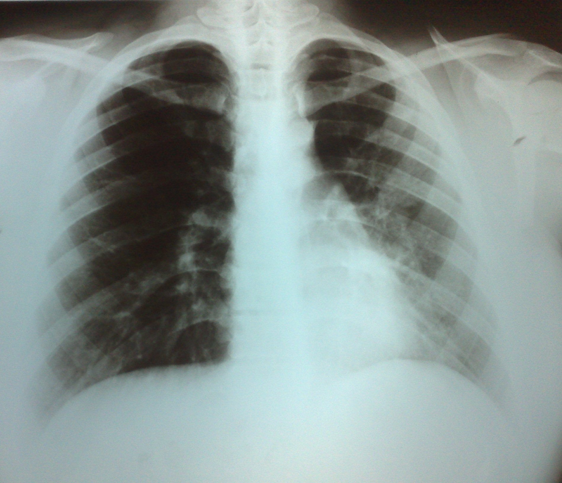
- გულმკერდის რენტგენოგრაფია სტენტირებამდე 10 დღით ადრე
- მარცხენა მთავარი ბრონქის სტენტირება
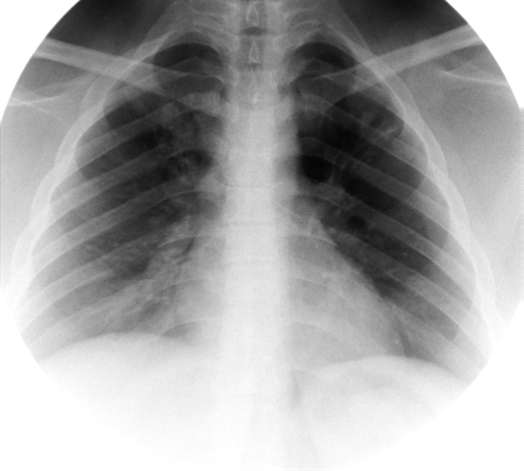
- გულმკერდის რენტგენოგრაფია სტენტირებიდან 1 თვეში
- რენტგენოგრამების შედარება სტენტირებამდე და სტენტირების შემდეგ
მარცხენა მტავარი ბრონქის კრიტიკული სტენოზი

მარჯვენა მთავარი ბრონქის დიამეტრია 12.3 მმ, მარცხენა მთავარი ბრონქის დიამეტრია 5,3 მმ

მარცხენა მთავარი ბრონქის სანათურის დიამეტრია 2.2 მმ

აღინიშნება მარცხენა ფილტვის ჰიპოვენტილაცია და შუასაყარი საგრძნობლად ცდომილია მარცხენა მხარეს.

მარცხენა მთავარ ბრონქში თავდაპირველად თავსდება გაიდვაიერი, რომელზეც ცურდება მეტალის სტენტი. თავდაპირველად კონტრასტი ძნელად გადის სანათურში. სტენტის გაშლის შემდეგ კონტრასტი თავისუფლად გადის სანათურში.
ორივე ფილტვი გაშლილია, შუასაყარი დაუბრუნდა თავის ცენტრალურ მდებარეობას.

