პაციენტი 39 წლის მამაკაცი. გულმკერდის კტ კვლევით და ბრონქოსკოპიით ინახა მარცხენა მთავარ ბრონქში მოცულობითი წარმონაქმნი, რომელიც ახშობს სანათურს. ბიოფსიურ მასალაში მორფოლოგიურად ინახა ბაზალურუჯრედოვანი ადენომა. თორაკოქირურგებმა პროცესის ლოკალიზაციიდან გამომდინარე ოპერაციაზე თავი შეიკავეს. პაციენტის მდგომარეობა დამძიმდა და საციცოცხლო ჩვენებით ჩატარდა ლაზერული რეზექცია VELASTM 30W დიოდის ქირურგიული ლაზერის გამოყენებით.
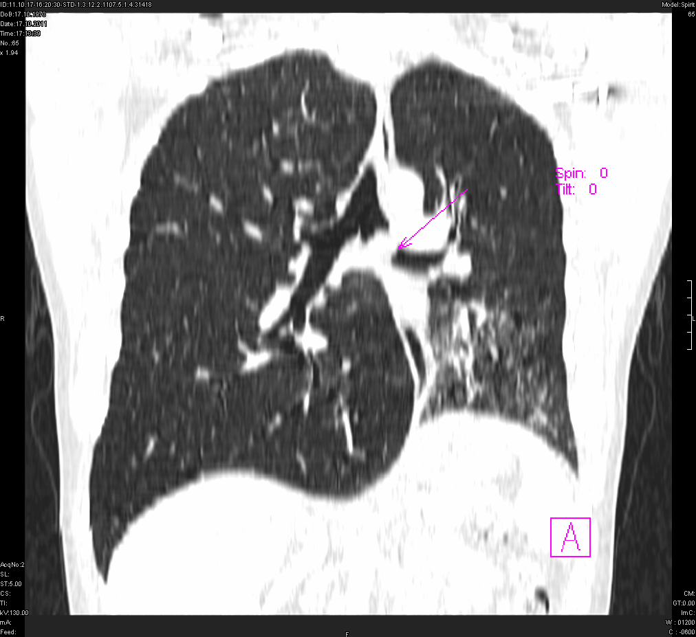
- გულმკერდის კტ (Coronal) რეზექციამდე 5 თვით ადრე
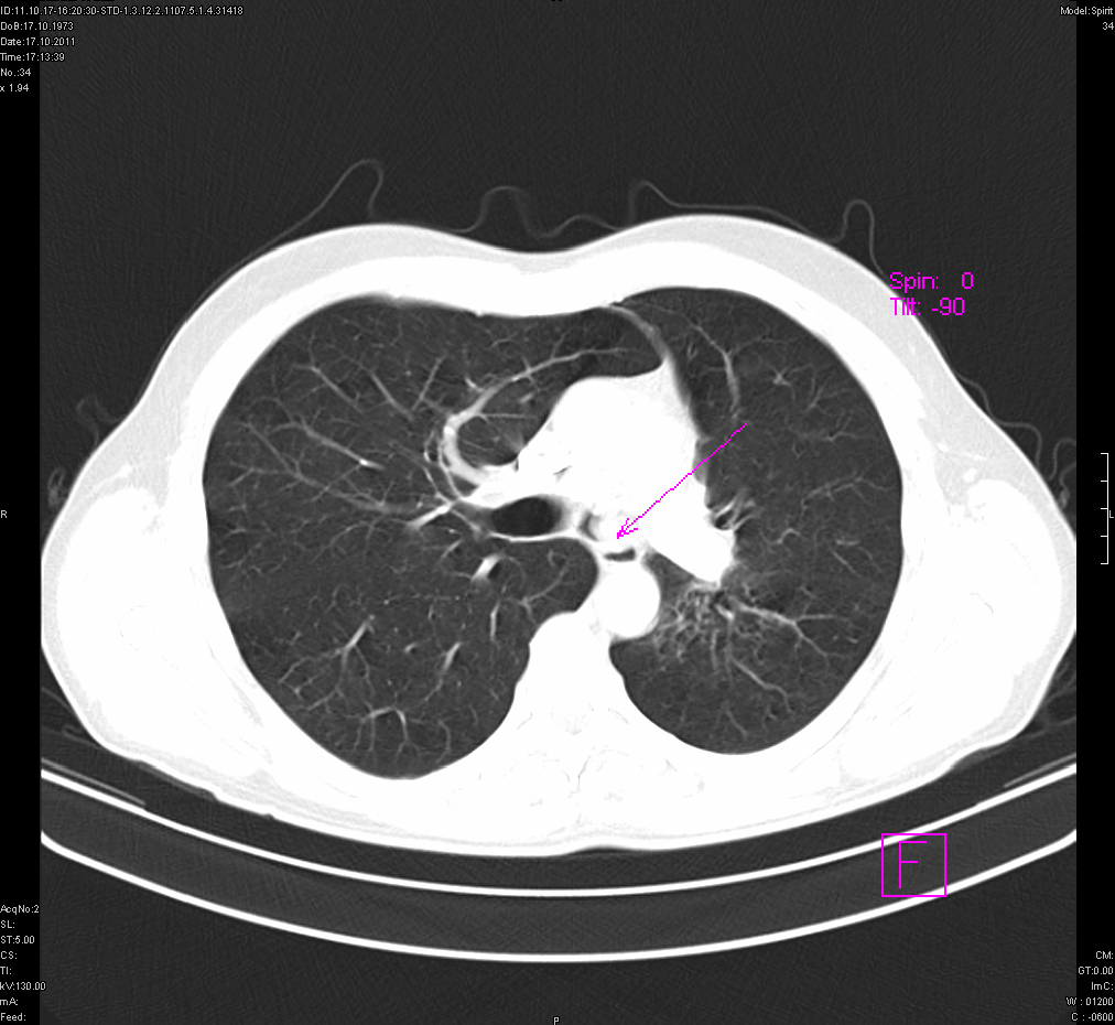
- გულმკერდის კტ (Axial) რეზექციამდე 5 თვით ადრე.
- ბრონქოსკოპია ლაზერულ რეზექციამდე
- ლაზერული რეზექცია
- ამოკვეთილი სიმსივნე
- გულმკერდის კტ რეზექციიდან 4 თვეში
- რეზექციიდან 1 თვეში
- რეზექციიდან 1 წელიწადში
გულმკერდის კტ რეზექციამდე (Axial)
გულმკერდის კტ რეზექციამდე (Coronal).

