პაციენტი 52წლის მამაკაცი ერთი თვის ანამნეზით. გულმკერდის კტ კვლევით აღმოჩნდა 3,9-3,6სმ ზომის სუბკარინული ქსოვილოვანი კონგლომერატი, რომელიც იჭრება მარცხენა მთავარ ბრონქში და მთლიანად ახშობს მას, ნაწილობრივ ახშობს მარჯვენა ზ/წილოვან ბრონქს. ბიოფსიის მორფოლოგიით დადგინდა ბრტყელუჯრედოვანი გაურქოვანებელი ტიპის კარცინომა. პაციენტის მდგომარეობა დამძიმდა, მოხრჩობის შეტევების გამო ჰქონდა უძილობა. საციცოცხლო ჩვენებით პაციენტს ჩაუტარდა ლაზერული რეზექცია რიგიდული ბრონქოსკოპით, VELASTM 30W ქირურგიული დიოდის ლაზერული სისტემის გამოყენებით. მანიპულაციის დამთავრებისთანავე პაციენტის სუნთქვითი მონაცემები მყისიერად გაუმჯობესდა.
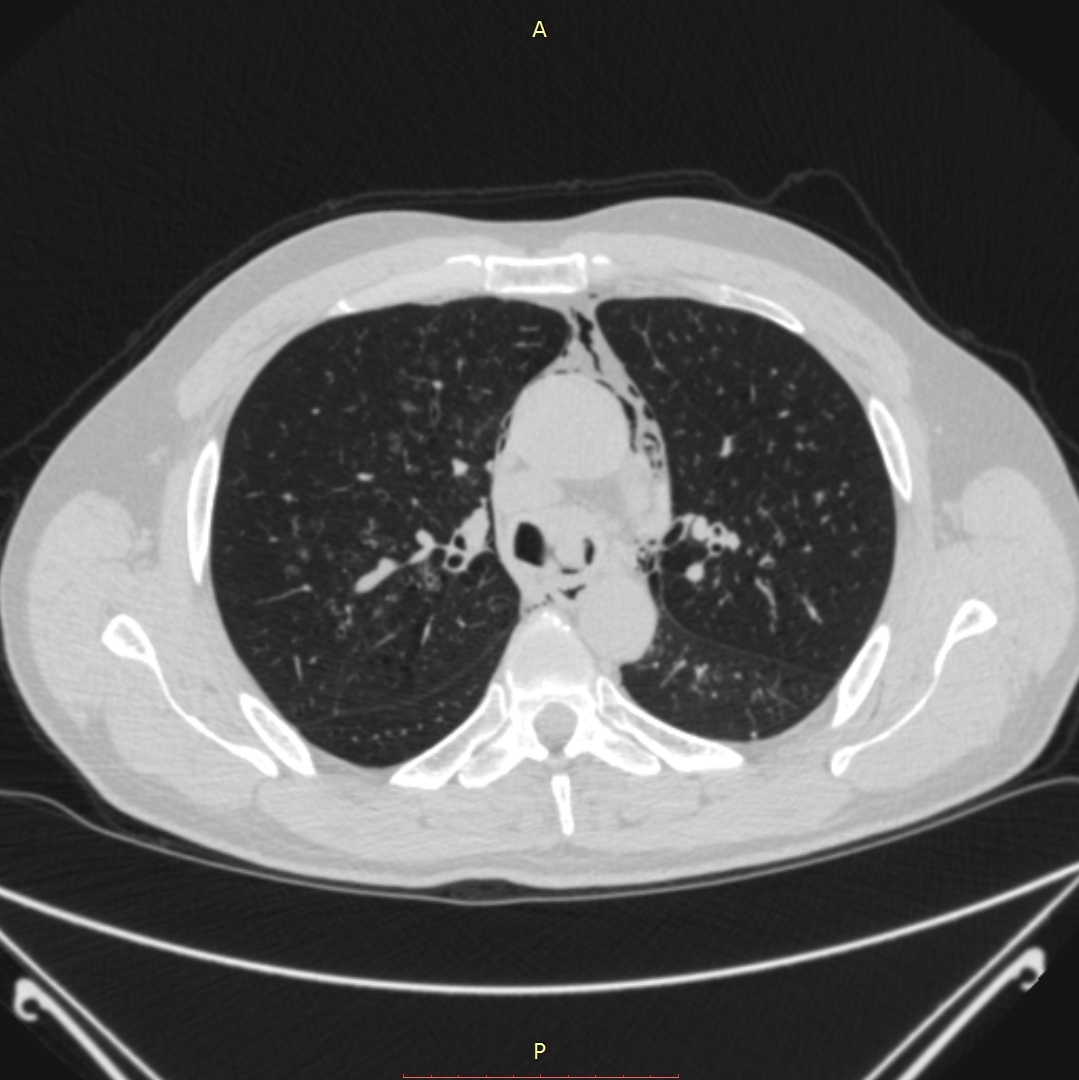
- გულმკერდის კტ (Axial) რეზექციამდე 1 კვირით ადრე 1
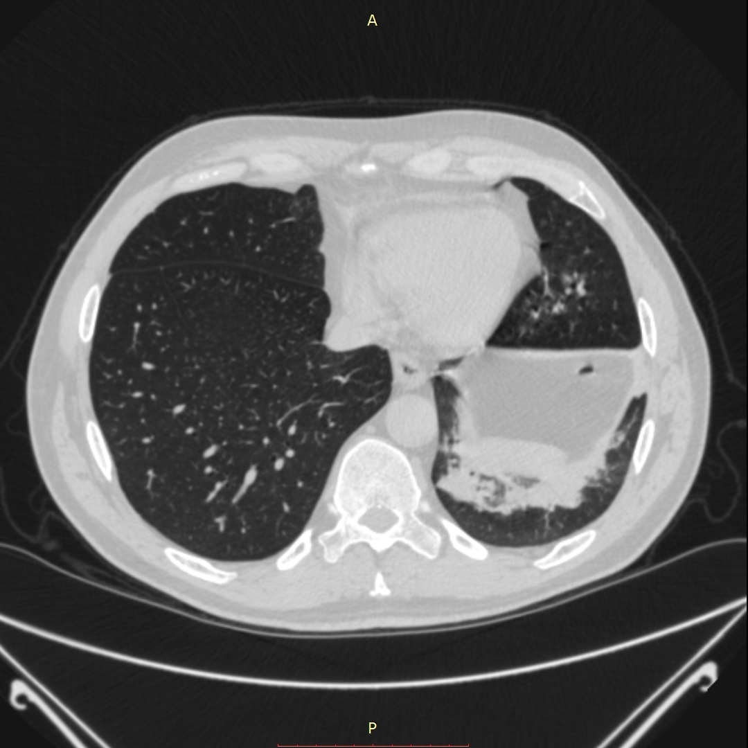
- გულმკერდის კტ რეზექციამდე 1 კვირით ადრე 2
- ლაზერული რეზექცია
- სტენტირება
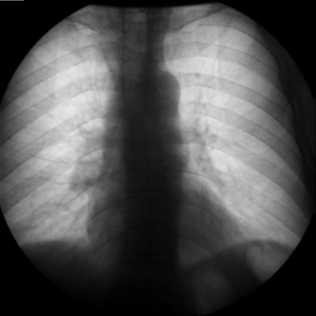
- გულმკერდის რენტგენოგრაფია რეზექციიდან 2 კვირის შემდეგ
მარცხენა მთავარი ბრონქის სანათური თითქმის მთლიანად დახშულია სიმსივნური წარმონაქმნით.

აღინიშნება მარცხენა ქვედა წილის ატელექტაზი.

სიმსივნური წარმონაქმნი ჯერ მუშავდება დაბალი სიმძლავრის დიოდის ლაზერით (7-9 ვატი), შემდეგ ხდება კვეთა მაღალი სიმძლავრით (12-16 ვატი) და ფრაგმენტული ექსტრაქცია ხისტი ალიგატორებით.
მეტალის დაფარული სტენტი მოთავსდა მარცხენა მთავარ ბრონქში
მარცხენა ფილტვი მთლიანად გაშლილია
