პაციენტი 56 წლის მამაკაცი. მომართვამდე 2 თვის განმავლობაში პაციენტს ჰქონდა ქოშინი, შეტევითი ხასიათის ხველა, დაეწყო მაღალი ცხელება. გულმკერდის კტ კვლევით და ბრონქოსკოპიულად ინახა მარცხენა მთავარი ბრონქის ენდობრონქიალური წარმონაქმნი, რომელიც მთლიანად ახშობდა სანათურს. მდგომარეობის გაუარესების გამო, საციცოცხლო ჩვენებით პაც-ს გაუკეთდა ლაზერული რეზექცია რიგიდული ბრონქოსკოპით, VELASTM 30W დიოდის ლაზერის გამოყენებით. სანათურის გამავლობის აღდგენისთანავე ატელექტაზირებული ქვ/წილიდან წამოვიდა დიდი რაოდენობით ჩირქოვანი შიგთავსი. მანიპულაციისშემდგომი კონსერვატიული ანტიბიოტიკოთერაპიის შედეგად პაც-ი თავს კარგად გრძნობს.
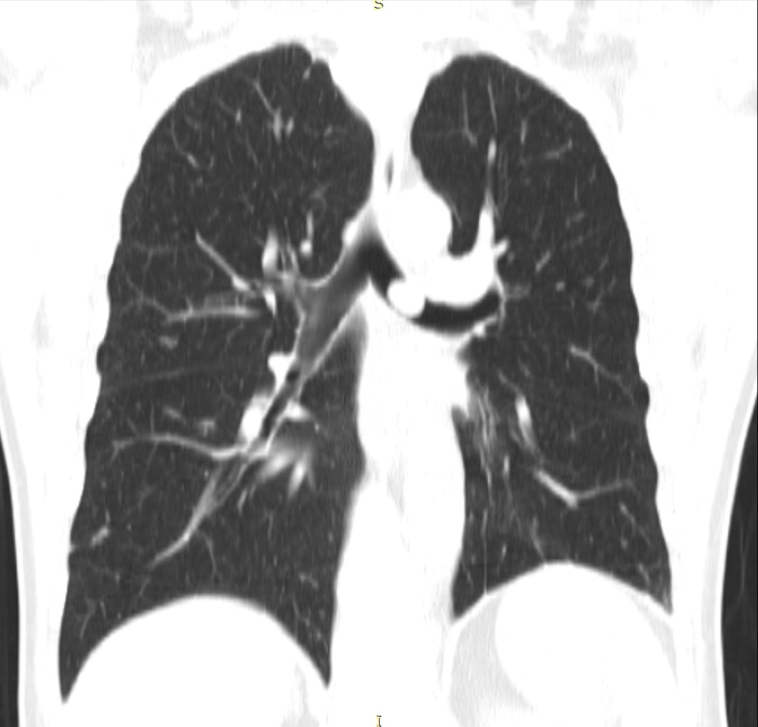
- გულმკერდის კტ (Coronal) რეზექციამდე 2 კვირით ადრე
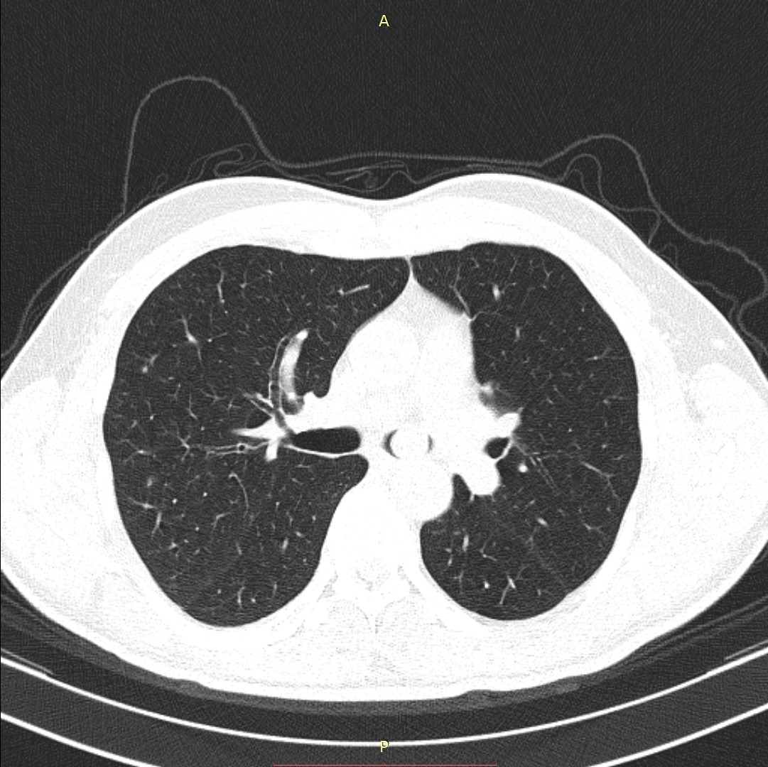
- გულმკერდის კტ (Axial) რეზექციამდე 2 კვირით ადრე
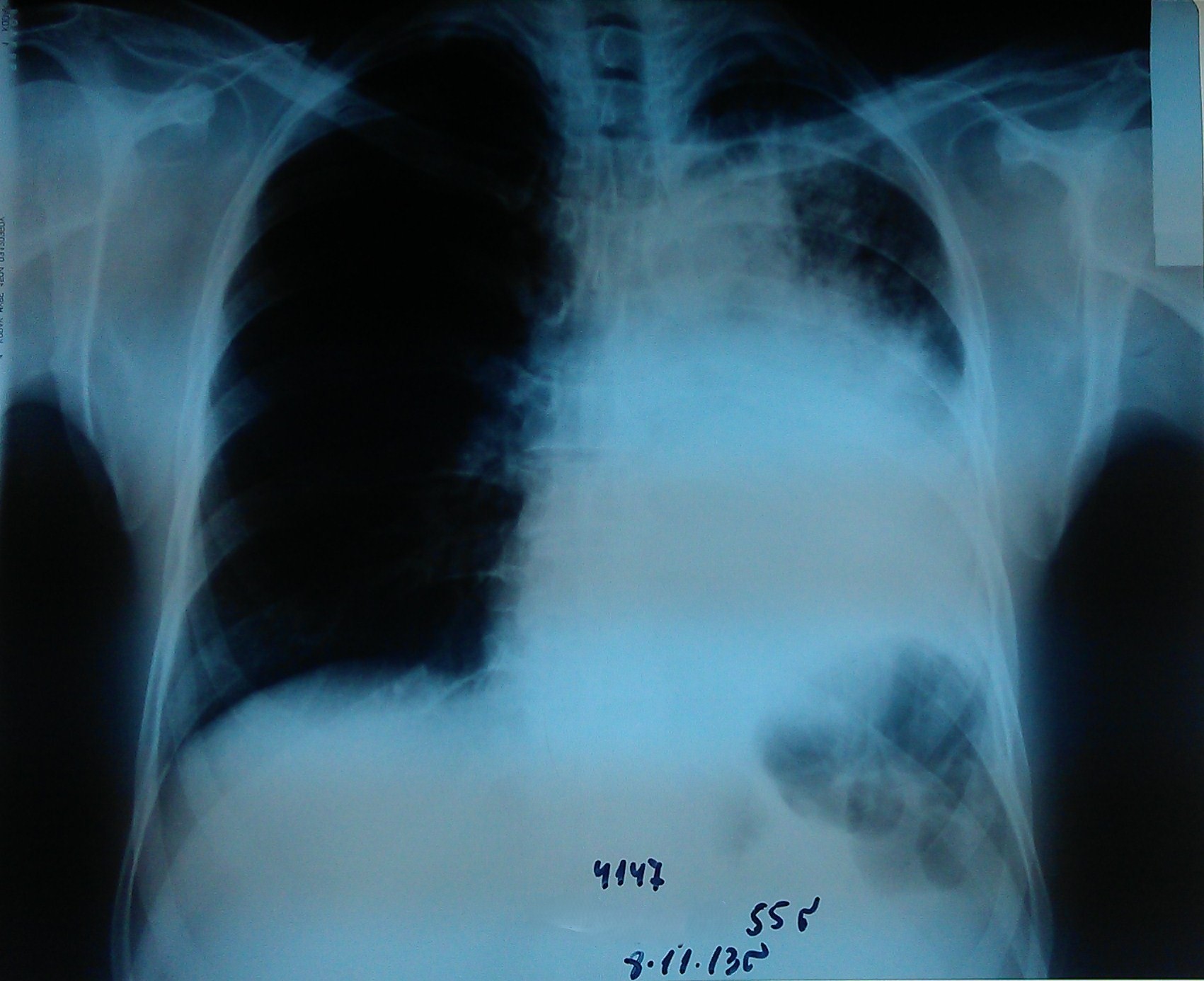
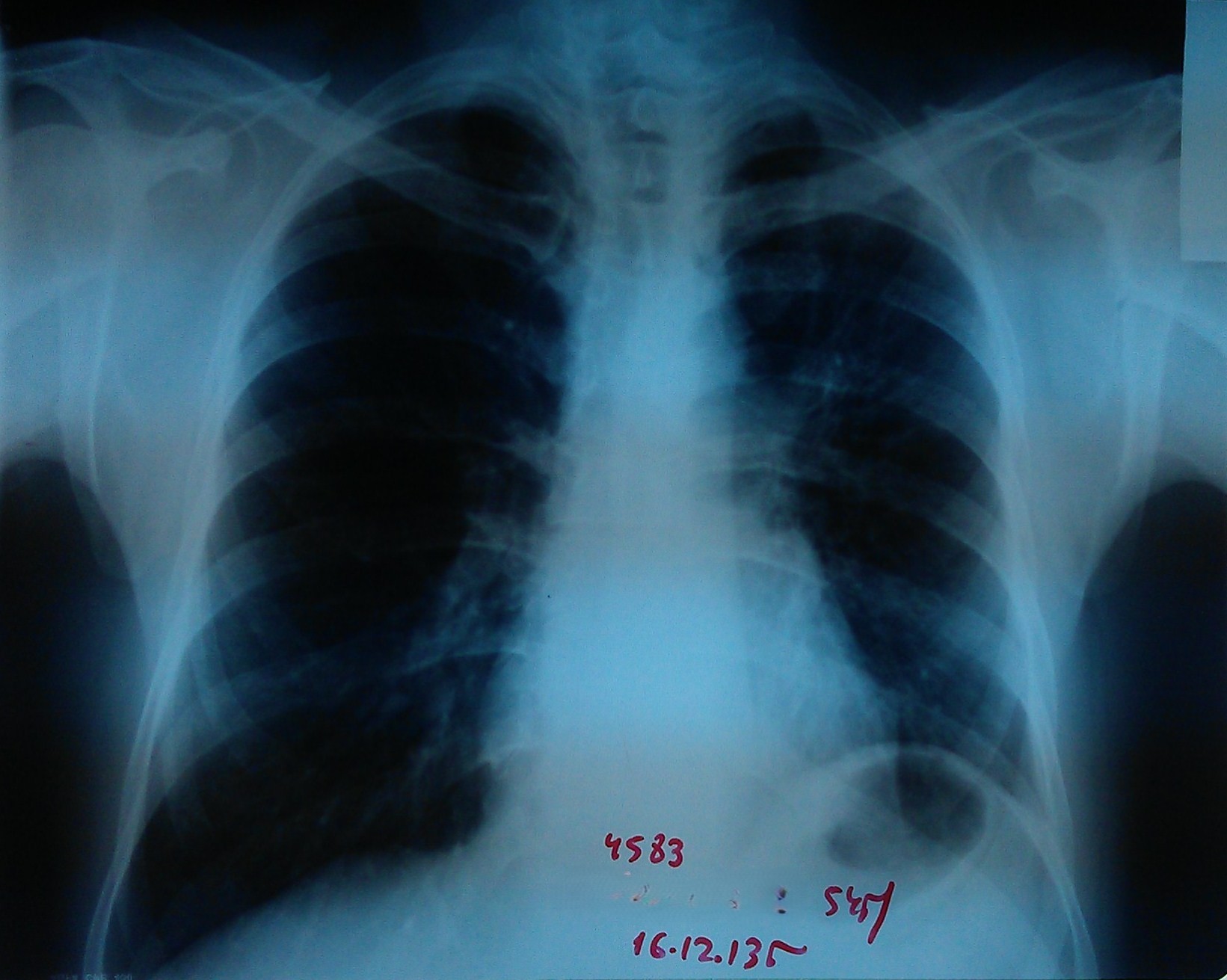
- გულმკერდის რენტგენოგრაფია რეზექციამდე 1 კვირით ადრე
- მარცხენა მთ/ბ ლაზერული რეზექცია
- ამოკვეთილი სიმსივნის ფრაქმენტები
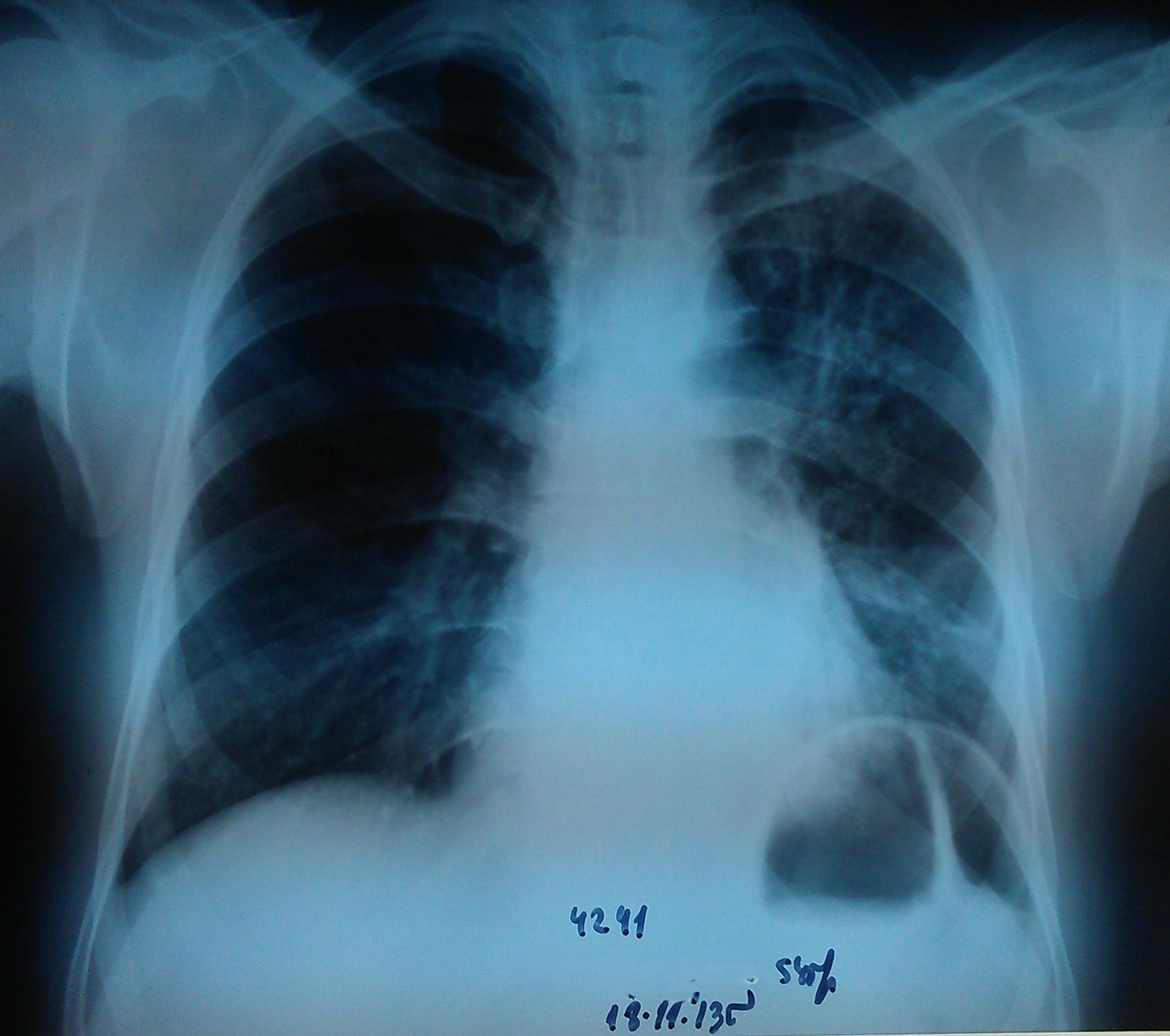
- გულმკერდის რენტგენოგრაფია რეზექციიდან 4 დღის შემდეგ
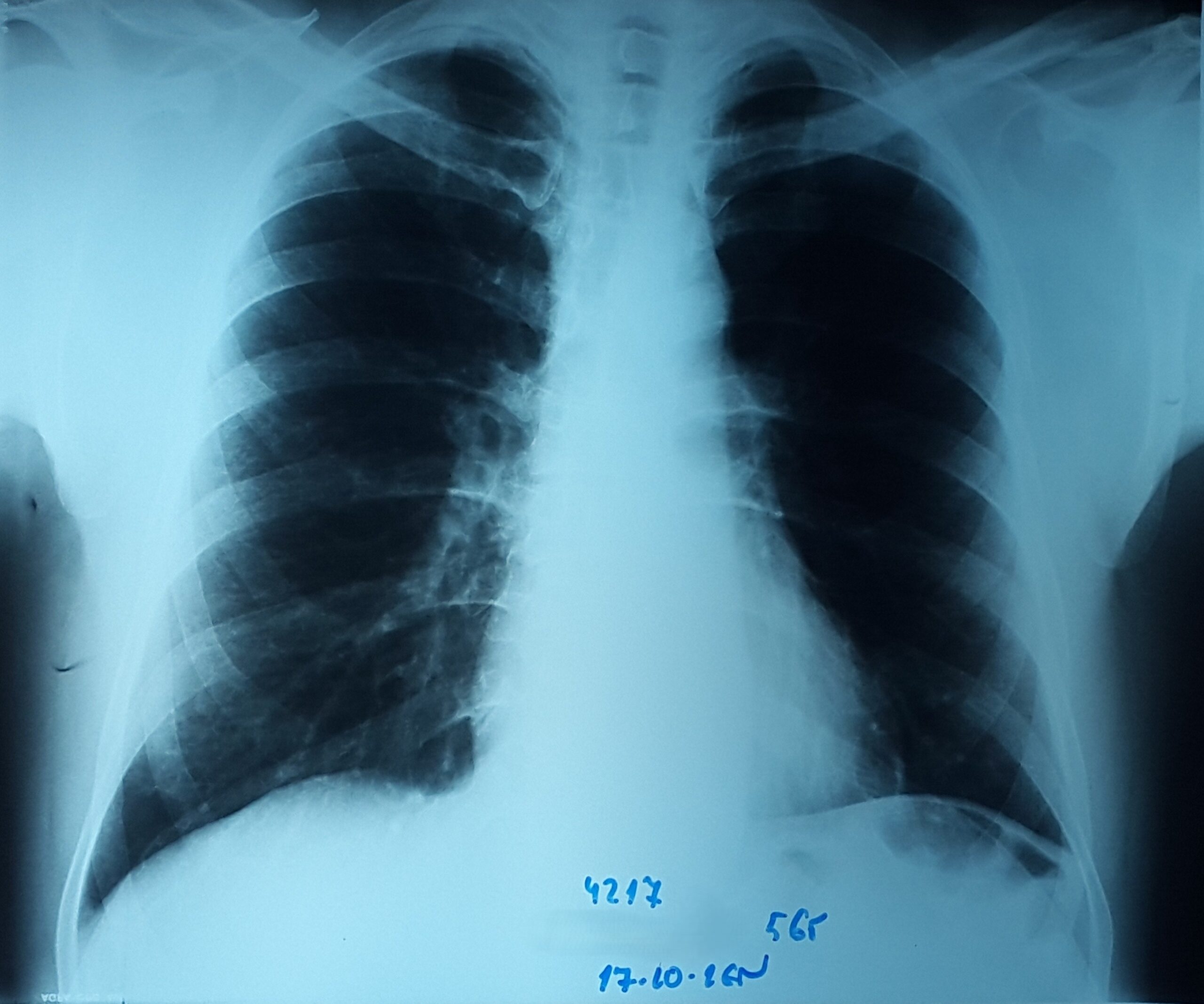
- გულმკერდის რენტგენოგრაფია რეზექციიდან 1 თვეში
- გულმკერდის რენტგენოგრაფია რეზექციიდან 1 წელში
- საკონტროლო ბრონქოსკოპია რეზექციიდან 3 წლის მერე
სიმსივნური წარმონაქმნი მარცხენა მთავარ ბრონქში.

აღინიშნება მარცხენა ფილტვის თითქმის სრული ატელექტაზი.

დიოდის ქირურგიული ლაზერის გამოყენებით მოხდა სიმსივნური წარმონაქმნის დევასკულარიზაცია, რეზექცია და ფრაგმენული ექსტრაქცია.

მარცხენა ფილტვი თითქმის მთლიანად გაშლილია.

მარცხენა ფილტვი სრულად გაშლილია.

