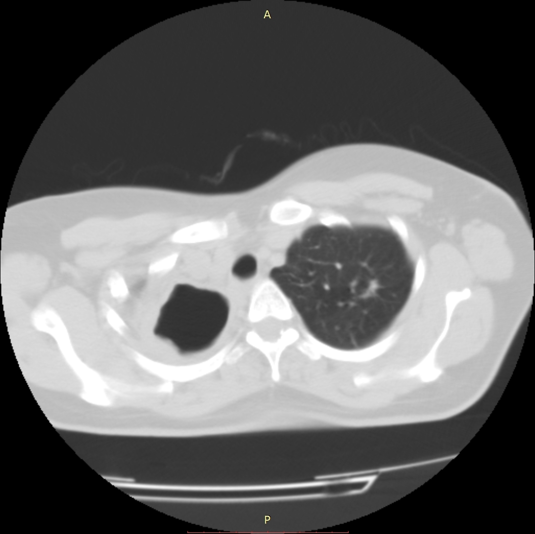
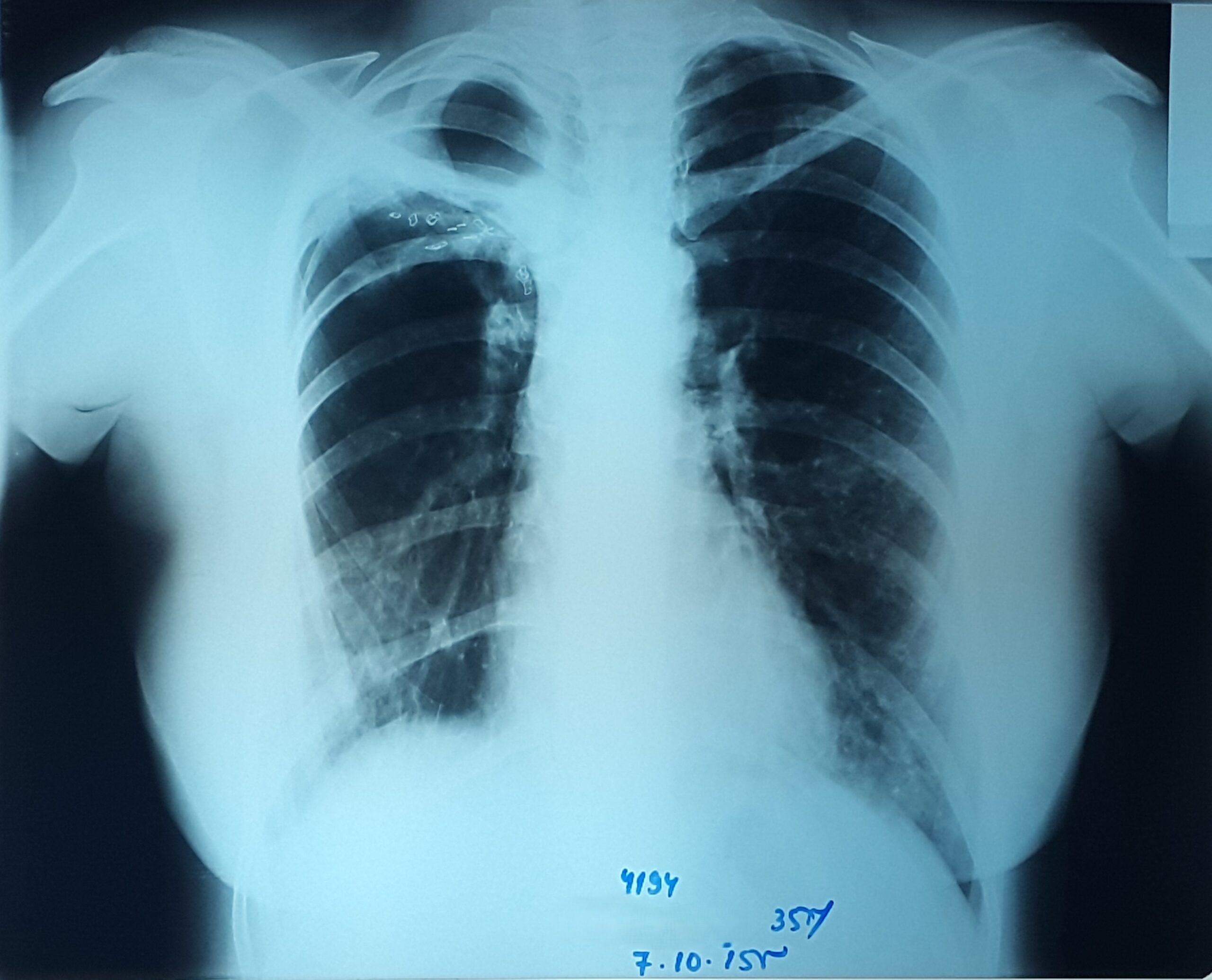
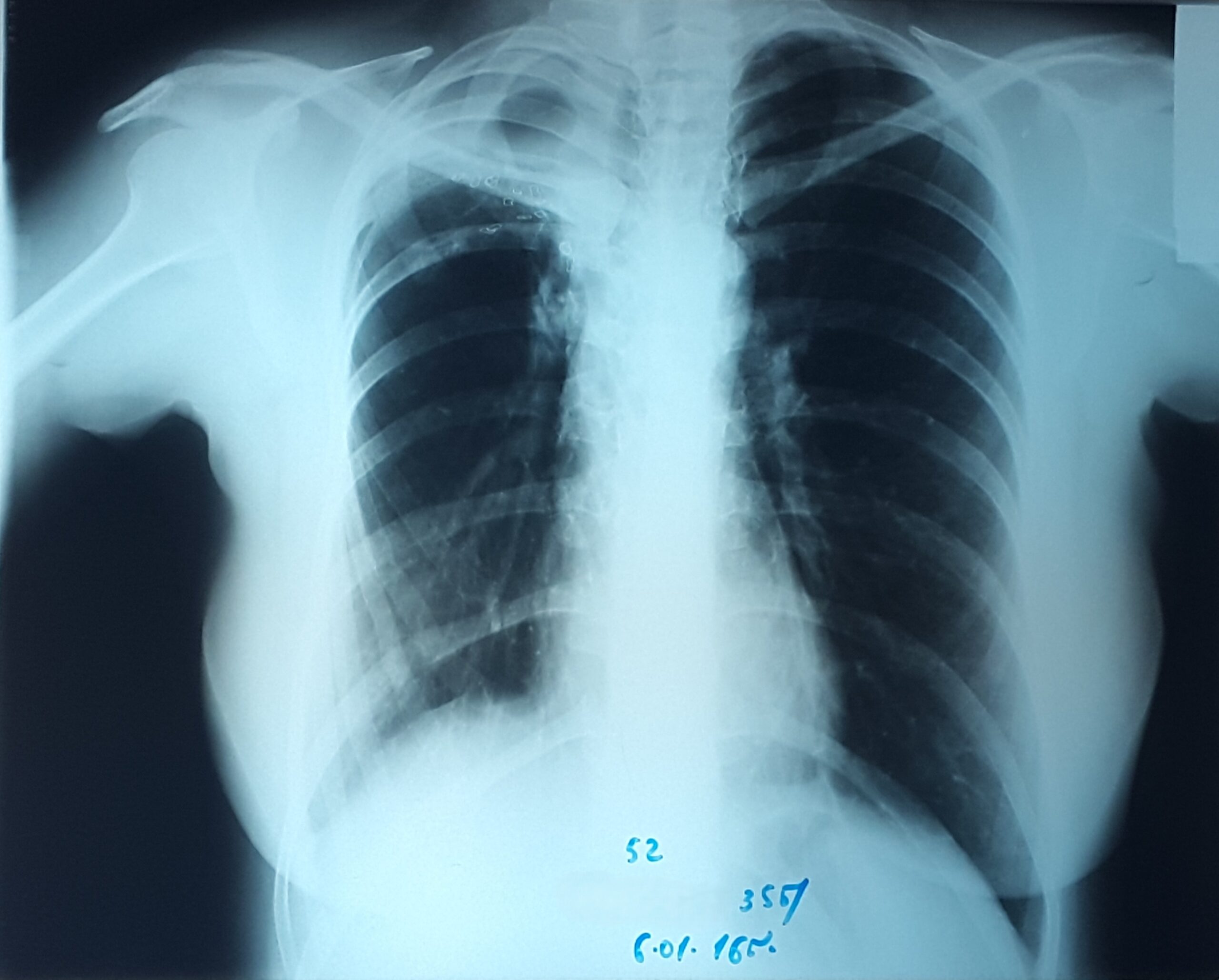
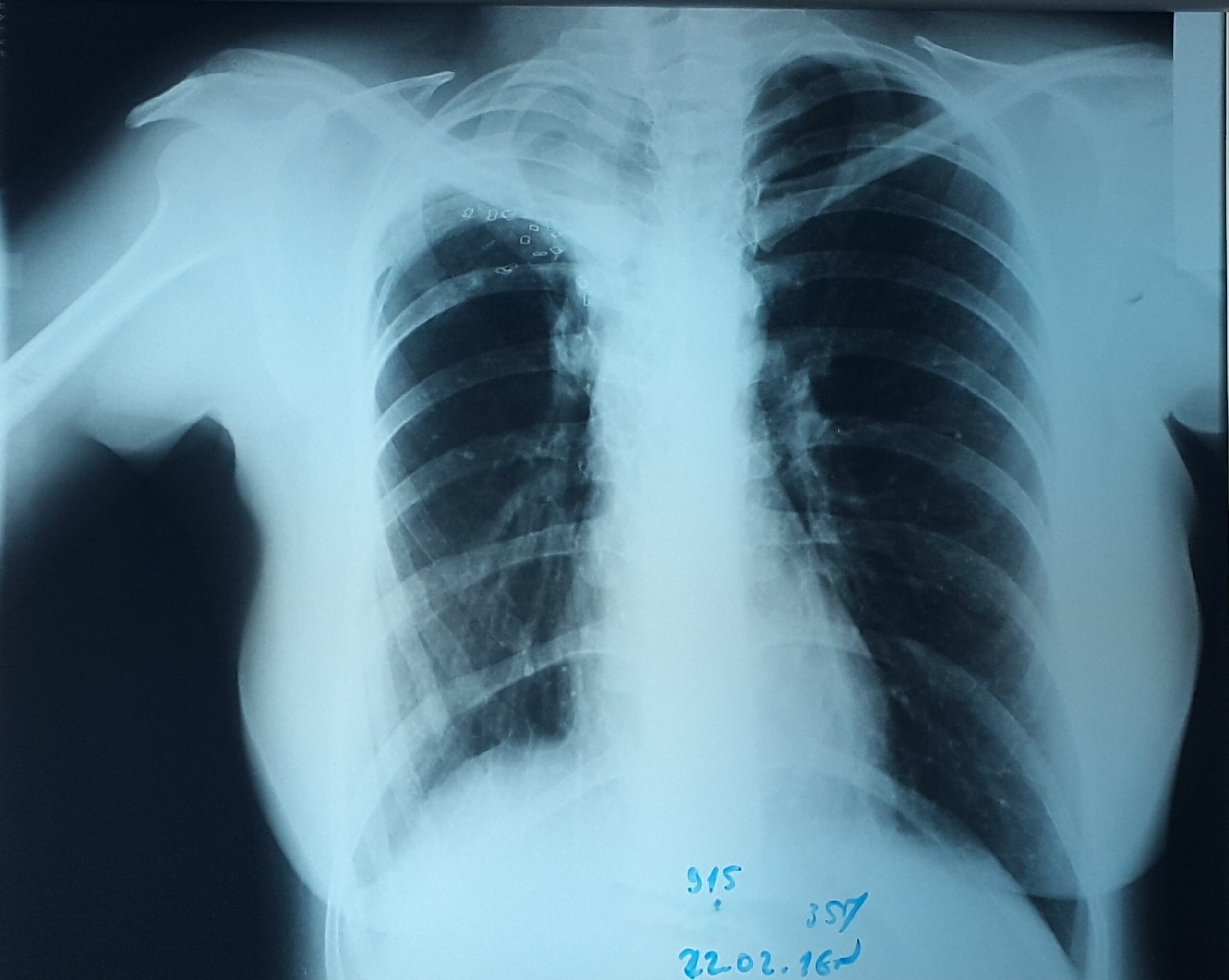
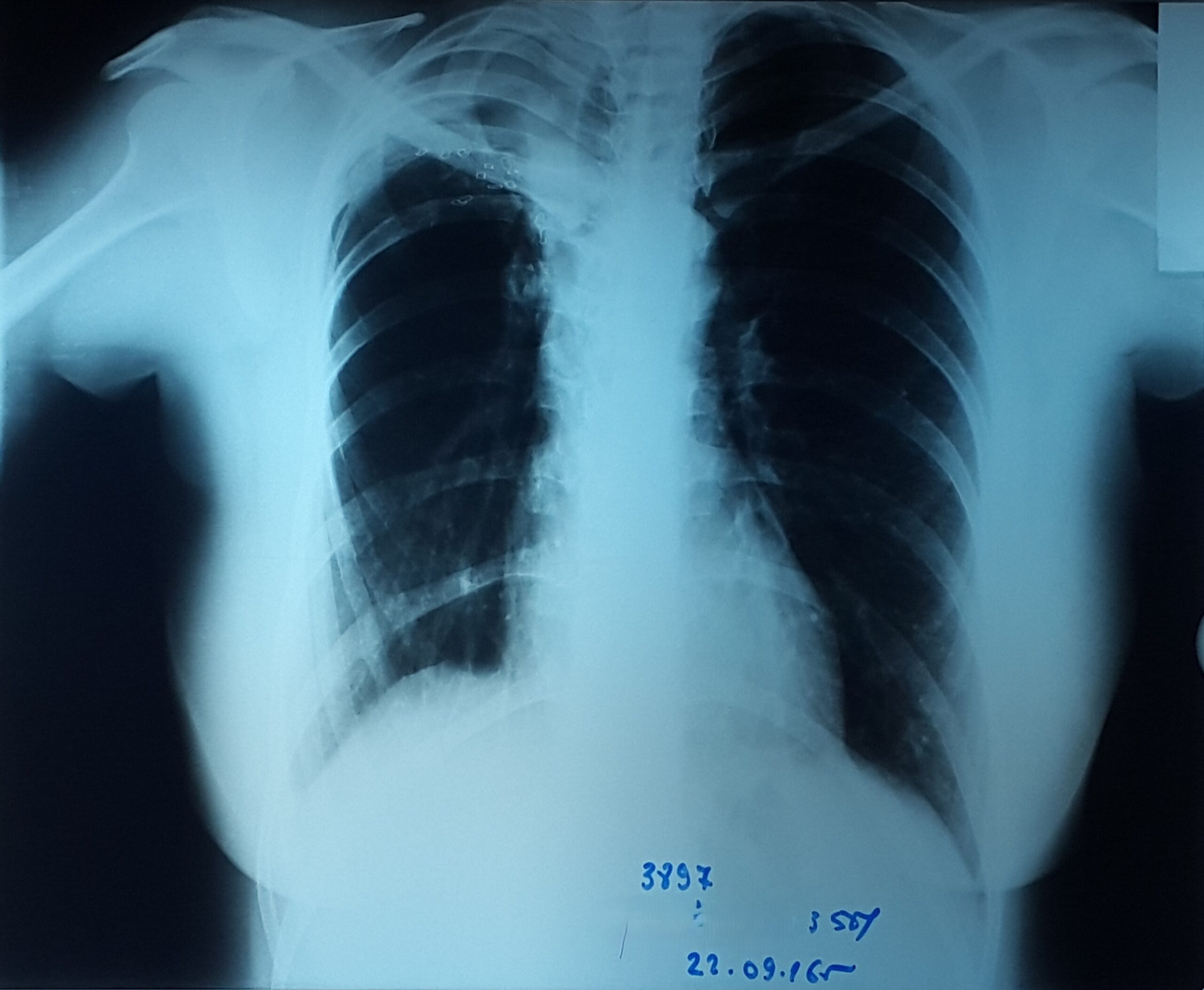
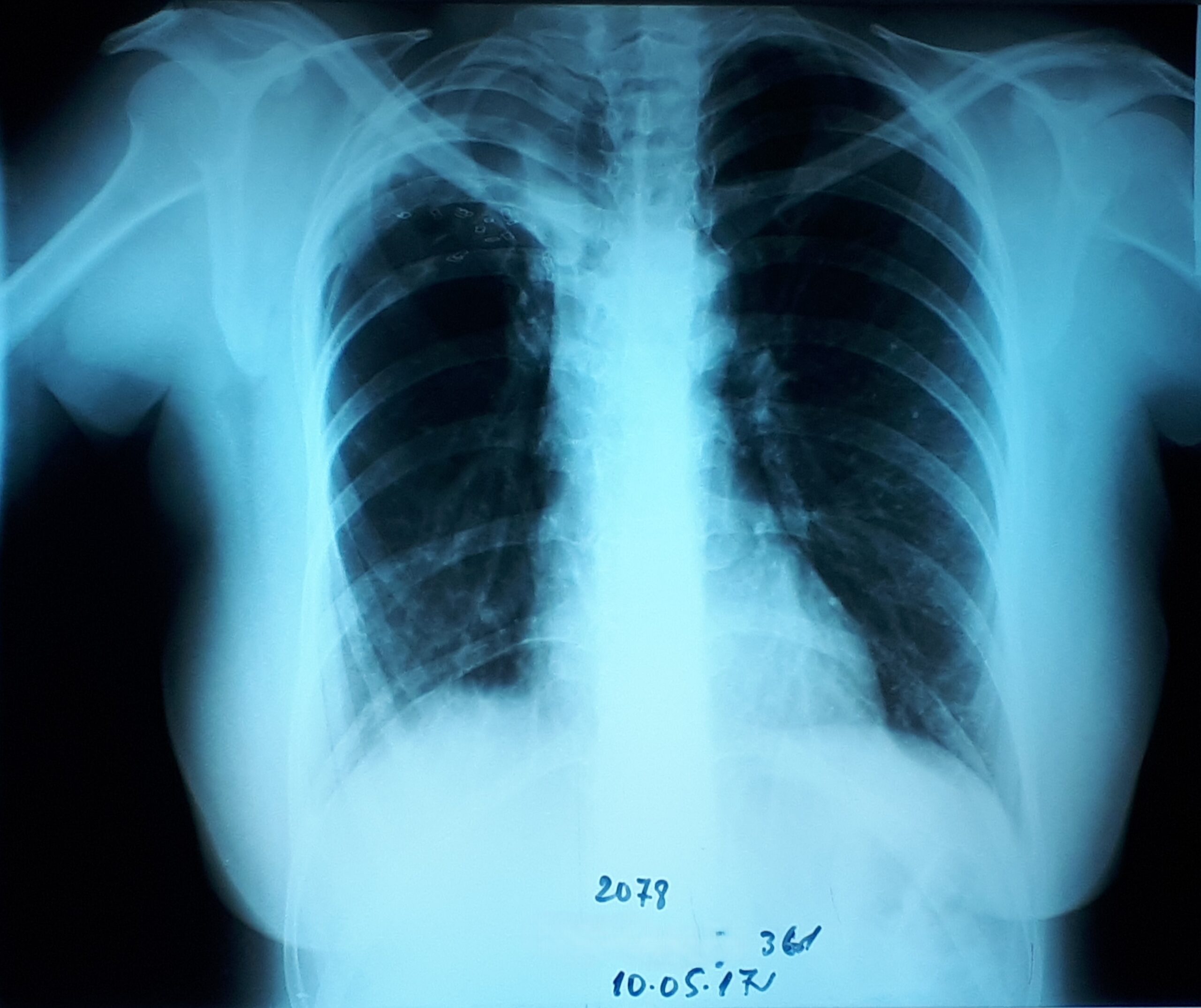
პაციენტი 37 წლის ქალი. 1997 წ-ს გაკეთებული აქვს მარჯვენა ზედა წილის რეზექცია ფილტვის ტუბერკულოზის გამო. წლების განმავლობაში აქვს გამწვავებები, რაც გამოიხატება მაღალი ცხელებით, ხველით, დიდი რაოდენობით სისხლნარევი, მძაფრი სუნის მქონე ნახველის გამოყოფით. რენტგენოლოგიურად ინახა დიდი ზომის ღრუ მარჯვენა ფილტვის ზედა ველში. ბრონქოსკოპიით ინახა დიდი ზომის მარჯვენა ზ/წილოვანი ბრონქის ტაკვის ფისტულა. ტაკვის სიგრძე იძლეოდა ბლოკატორის ჩადგმის შესაძლებლობას. რიგიდული ბრონქოსკოპით მარჯვენა ზ/წილოვან ბრონქში ჩაიდგა MEDLUNG-ის ბლოკატორი N13. რამოდენიმე საათში საჭირო გახდა ბლოკატორის გამოცვლა ნაკლებ (N12) ზომაზე განვითარებული მარჯვენა ქვედა წილის ატელექტაზის გამო. მანიპულაციის შემდეგ პაციენტს შეუწყდა სისხლნარევი და ჩირქოვანი სეკრეტი. 10 თვის შემდეგ საკონტროლო გამოკვლევით ღრუს ადგილას დაფიქსირდა ფიბროთორაქსი. უახლოეს მომავალში, გულმკერდის კტ კვლევის შემდეგ, იგეგმება ბლოკატორის ამოღება.






